9. ΝΕΥΡΙΚΟ ΣΥΣΤΗΜΑ
Το νευρικό σύστημα μαζί με το σύστημα των ενδοκρινών αδένων συμβάλλουν στη διατήρηση σταθερού εσωτερικού περιβάλλοντος (ομοιόσταση), ελέγχοντας και συντονίζοντας τις λειτουργίες των υπόλοιπων συστημάτων του οργανισμού. Ο οργανισμός πρέπει να αντιλαμβάνεται και να αντιδρά ανάλογα στις μεταβολές του περιβάλλοντος. Οι πληροφορίες για τις μεταβολές αυτές συλλέγονται από τους υποδοχείς και μεταβιβάζονται στο κεντρικό νευρικό σύστημα. Μετά την επεξεργασία των πληροφοριών το κεντρικό νευρικό σύστημα δίνει
τις κατάλληλες εντολές στους μυς και στους αδένες. Με αυτόν τον τρόπο δίνεται η δυνατότητα στον οργανισμό να προσαρμόζει τις λειτουργίες του ανάλογα με τις μεταβολές του περιβάλλοντος, απαραίτητη προϋπόθεση για την επιβίωση του.
Τα όργανα του νευρικού συστήματος είναι ο εγκέφαλος και ο νωτιαίος μυελός, που αποτελούντο Κεντρικό Νευρικό Σύστημα (ΚΝΣ), και τα νεύρα, που αποτελούν το Περιφερικό Νευρικό Σύστημα (ΠΝΣ).
ΔΟΜΗ ΚΑΙ ΛΕΙΤΟΥΡΓΙΑ ΤΩΝ ΝΕΥΡΙΚΩΝ ΚΥΤΤΑΡΩΝ
Τα όργανα του νευρικού συστήματος, δηλαδή ο εγκέφαλος, ο νωτιαίος μυελός και τα νεύρα αποτελούνται από νευρικό ιστό. Τα κύτταρα του νευρικού ιστού είναι δύο ειδών: τα νευρικά κύτταρα ή νευρώνες και τα νευρογλοιακά κύτταρα. Οι νευρώνες, που αποτελούν τη δομική και λειτουργική μονάδα του νευρικού συστήματος, έχουν την ιδιότητα να αντιδρούν σε συγκεκριμένες μεταβολές του περιβάλλοντος, όπως είναι η μεταβολή της θερμοκρασίας, της πίεσης, της έντασης του φωτός, του pH κ.ά.
Τα νευρογλοιακά κύτταρα είναι πολύ περισσότερα από τους νευρώνες και έχουν
βοηθητικό ρόλο.
Νευρώνες
Κάθε νευρώνας αποτελείται από το κυτταρικό σώμα και από τις αποφυάδες (εικ. 9.1). Το κυτταρικό σώμα περιέχει τον πυρήνα και τα οργανίδια του κυττάρου. Οι νευρικές αποφυάδες διακρίνονται στους δενδρίτες και στο νευράξονα ή νευρίτη. Οι δενδρίτες είναι συνήθως μικρές σε μήκος αποφυάδες με πολλές διακλαδώσεις.
Ο νευράξονας ή νευρίτης έχει μήκος που σε ορισμένες περιπτώσεις φτάνει το ένα μέτρο. Διακλαδίζεται σε πολλές μικρές απολήξεις, καθεμία από τις οποίες καταλήγει σε ειδικό άκρο, το τελικό κομβίο.
Οι νευρώνες παρουσιάζουν μορφολογικές και λειτουργικές διαφορές και διακρίνονται, ανάλογα με τη λειτουργία που επιτελούν, σε αισθητικούς, κινητικούς και ενδιάμεσους. Οι αισθητικοί νευρώνες μεταφέρουν μηνύματα από τις διάφορες περιοχές του σώματος στο νωτιαίο μυελό και στον εγκέφαλο. Αντίθετα, οι κινητικοί νευρώνες μεταφέρουν τα μηνύματα από τον εγκέφαλο και το νωτιαίο μυελό στα εκτελεστικά όργανα, τα οποία απαντούν είτε με σύσπαση (μύες) είτε με έκκριση ουσιών (αδένες). Τέλος, οι ενδιάμεσοι ή συνδετικοί νευρώνες βρίσκονται αποκλειστικά στον εγκέφαλο και στο νωτιαίο μυελό και κατευθύνουν τα μηνύματα που προέρχονται από τους αισθητικούς νευρώνες στις κατάλληλες περιοχές του εγκεφάλου ή του νωτιαίου μυελού. Μεταφέρουν επίσης τα μηνύματα από μία περιοχή του εγκεφάλου ή του
νωτιαίου μυελού σε μία άλλη και τελικά στους κατάλληλους κινητικούς νευρώνες.
Γνωρίζετε ότι:
Στον εγκέφαλο υπάρχουν περίπου 100 δισεκατομμύρια νευρώνες, οι νευρικές αποφυάδες των οποίων έχουν συνολικό μήκος περίπου 2.000.000 km. Από την ηλικία των 30 ετών ο αριθμός των νευρώνων αρχίζει να μειώνεται. Εκτιμάται ότι το βάρος του εγκεφάλου ενός ατόμου ηλικίας 75 ετών, λόγω της απώλειας νευρώνων, έχει μειωθεί κατά 44%.
Νευρογλοιακά κύτταρα
Τα νευρογλοιακά κύτταρα (νεύρο και γλοία = κόλλα) έχουν ποικίλα σχήματα και ειδικές λειτουργίες. Τα βοηθητικά αυτά κύτταρα προμηθεύουν με θρεπτικά συστατικά το νευρώνα και χρησιμεύουν στην απορρόφηση και απομάκρυνση των άχρηστων ουσιών από αυτούς. Τα νευρογλοιακά κύτταρα, που περιβάλλουν το νευράξονα των περισσότερων από τους νευρώνες, συμβάλλουν στη μόνωσή του και στην επιτάχυνση της μεταφοράς της νευρικής ώσης.

εικ. 9.1 Νευρικά κύτταρα
|
Δυναμικό ηρεμίας
Στην εξωτερική επιφάνεια της κυτταρικής μεμβράνης ενός νευρώνα που βρίσκεται σε ηρεμία, δηλαδή που δε δέχεται ερεθίσματα, υπάρχει υψηλή συγκέντρωση ιόντων νατρίου (Na+), ενώ στην εσωτερική επιφάνεια υπάρχει μεγάλη συγκέντρωση ιόντων καλίου (Κ+) και αρνητικών ιόντων (όπως ΡΟ43- SΟ42- κ.ά.) (εικ. 9.2). Η μεμβράνη διατηρεί την άνιση αυτή κατανομή των ιόντων με τη βοήθεια ενός μηχανισμού ενεργητικής μεταφοράς, της αντλίας Na+/K+, που βρίσκεται στη μεμβράνη του νευρικού κυττάρου. Η αντλία Na+/K+ για κάθε τρία Na+ που απομακρύνει από το εσωτερικό του κυττάρου μεταφέρει ταυτόχρονα στο εσωτερικό δύο Κ+. Τα αρνητικά ιόντα διαχέονται ελάχιστα.
Η μεγάλη συγκέντρωση θετικών ιόντων στην εξωτερική επιφάνεια της μεμβράνης και αρνητικών ιόντων στην εσωτερική δημιουργούν διαφορά δυναμικού. Το δυναμικό αυτό ονομάζεται δυναμικό ηρεμίας και είναι περίπου -70 mV (επειδή η εσωτερική επιφάνεια της μεμβράνης είναι ηλεκτραρνητικά φορτισμένη σε σχέση με την εξωτερική). Η μεμβράνη του νευρώνα διατηρεί το δυναμικό ηρεμίας για όσο διάστημα δε δέχεται κάποιο ερέθισμα ή, όταν δέχεται ερεθίσματα, με ένταση μικρότερη από κάποια οριακή τιμή.
 εικ. 9.2 Κατανομή ιόντων στη μεμβράνη του νευρώνα στο δυναμικό ηρεμίας
 ει κ. 9.3 α-δ Δημιουργία δυναμικού ενέργειας στη μεμβράνη του νευράξονα
Νευρική ώση
Οι μεταβολές του περιβάλλοντος αποτελούν ερεθίσματα, τα οποία επιδρούν στο δυναμικό ηρεμίας. Όταν ένας νευρώνας δεχτεί σε κάποιο σημείο της μεμβράνης του ερέθισμα με ένταση μεγαλύτερη από μία συγκεκριμένη τιμή, που διαφέρει από νευρώνα σε νευρώνα, τότε αυξάνεται, για 1 msec, περίπου, η διαπερατότητα της μεμβράνης σε ιόντα νατρίου. Τα Na+ εισρέουν (λόγω διαφοράς στη συγκέντρωση) μαζικά στο κύτταρο, η εσωτερική επιφάνεια της μεμβράνης φορτίζεται θετικά σχέση με την εξωτερική και η διαφορά του δυναμικού φτάνει στη τιμή των +50mV περίπου (εικ. 9.3β). Στη συνέχεια, αυξάνεται, για μικρό διάστημα, η διαπερατότητα στα
ιόντα καλίου, αυτά εξέρχονται (λόγω διαφοράς στη συγκέντρωση) μαζικά από το κύτταρο και το δυναμικό της μεμβράνης φτάνει σε τιμές μικρότερες των -70 mV (εικ. 9.3γ).
Όταν η διαπερατότητα της μεμβράνης επανέλθει στα επίπεδα που βρισκόταν πριν από την επίδραση του ερεθίσματος, και με τη βοήθεια της αντλίας Na+/K+, η κατανομή των ιόντων επανέρχεται στα αρχικά επίπεδα και αποκαθίσταται το δυναμικό ηρεμίας στα -70 mV (εικ. 9.3δ).
Οι σύντομες μεταβολές στο δυναμικό της μεμβράνης (δυναμικό ενεργείας) αποτελούν το ερέθισμα για αντίστοιχες αλλαγές σε
|
  εικ. 9.3 ε. Μεταβολές στο δυναμικό στ.
9.4. Νευρική ώση
γειτονικές περιοχές της μεμβράνης. Με αυτό τον τρόπο το δυναμικό ενεργείας μεταδίδεται κατά μήκος του νευράξονα και αποτελεί τη νευρική ώση (εικ. 9.4).
Τα ερεθίσματα τα οποία μπορούν να προκαλέσουν δημιουργία νευρικής ώσης είναι χημικά, ηλεκτρικά, μηχανικά, θερμικά κ.ά. Ερεθίσματα με ένταση μικρότερη από μια οριακή τιμή δεν προκαλούν νευρική ώση.
Ο νευρώνας μπορεί να απαντήσει σε ένα νέο ερέθισμα μόνο μετά την παρέλευση 0,5-2 msec από τη δημιουργία νευρικής ώσης. Το διάστημα αυτό ονομάζεται απόλυτη ανερέθιστη περίοδος.
Συνόψεις
Οι νευρώνες συνδέονται με άλλους νευρώνες (ή εκτελεστικά όργανα) με τη βοήθεια συνάψεων. Σύναψη είναι η περιοχή λειτουργικής σύνδεσης των τελικών κομβίων του νευράξονα ενός νευρώνα με άλλα νευρικά κύτταρα ή με ειδικά διαμορφωμένες θέσεις των εκτελεστικών οργάνων (μυών ή αδένων) (εικ. 9.5α).
Η μεταφορά της νευρικής ώσης μέσω των συνάψεων πραγματοποιείται συνήθως με τη βοήθεια χημικών ενώσεων που παράγει το νευρικό κύτταρο, των νευροδιαβιβαστών, οι οποίες εκκρίνονται από τα τελικά κομβία τωννευραξόνων (χημική σύναψη). Ο πιο διαδεδομένος νευροδιαβιβαστής στο ΚΝΣ και στο ΠΝΣ είναι η ακετυλοχολίνη.
|
Σε μία σύναψη μπορούμε να διακρίνουμε το προσυναπτικό άκρο (τα τελικά κομβία ενός νευρικού κυττάρου), στο οποίο υπάρχουν πολυάριθμα μιτοχόνδρια και συνοπτικά κοκκία (κυστίδια), που περιέχουν τη νευροδιαβιβαστική ουσία. Επίσης, το μετασυναπτικό άκρο, που είναι η υποδεκτική επιφάνεια του νευρώνα ή του εκτελεστικού οργάνου, και στο οποίο βρίσκονται οι υποδοχείς της νευροδιαβιβαστικής ουσίας. Το προσυναπτικό και το μετασυναπτικό άκρο δε βρίσκονται σε επαφή, και ο χώρος ανάμεσά τους, η συνοπτική σχισμή, έχει πάχος 15-20 nm (εικ. 9.5β).
Ένα ερέθισμα με ένταση μεγαλύτερη μιας συγκεκριμένης τιμής δημιουργεί τοπικές αλλαγές στο δυναμικό της μεμβράνης, οι οποίες στη συνέχεια μεταδίδονται σε όλο το μήκος του νευράξονα. Όταν μία νευρική ώση φτάσει στα τελικά κομβία ενός νευρώνα, απελευθερώνονται νευροδιαβιβαστικές ουσίες. Στη συνέχεια, ο
νευροδιαβιβαστής διαχέεται στη συνοπτική σχισμή και προσδένεται στους υποδοχείς του μετασυναπτικού άκρου (εικ. 9.5γ). Στην περίπτωση που ο νευροδιαβιβαστής δρα διεγερτικά, προκαλεί αύξηση στη διαπερατότητα της μετασυναπτικής μεμβράνης σε Na+. Η μαζική εισροή ιόντων νατρίου έχει ως αποτέλεσμα τη δημιουργία νευρικής ώσης κατά μήκος του νευράξονα του μετασυναπτικού νευρώνα.
Η νευροδιαβιβαστική ουσία δρα για περιορισμένο χρονικό διάστημα, διότι είτε επαναρροφάται από το προσυναπτικό άκρο είτε αποικοδομείται με τη βοήθεια ενζύμων.
Οι συνάψεις καθορίζουν την κατεύθυνση μεταφοράς των νευρικών ώσεων, διότι μπορούν να μεταφερθούν μόνο από το προσυναπτικό προς το μετασυναπτικό άκρο.
 εικ. 9.5 α. Σύναψη β. Τελικό κόμβιο και μετασυναπτικό άκρο γ. Απελευθέρωση νευροδιαβιβαστή
|
Νόσος Parkinson: Μια ασθένεια που σχετίζεται με τη μείωση παραγωγής νευροδιαβιβαστών
Το 1871 ο James Parkinson περιέγραψε τα συμπτώματα μιας ασθένειας, που σήμερα φέρει το όνομά του. Τα χαρακτηριστικά συμπτώματα της ασθένειας αυτής κάνουν την εμφάνισή τους στην 5η ή 6η δεκαετία της ζωής του ατόμου και είναι το ρυθμικό τρέμουλο των μυών, η δυσκολία στο ξεκίνημα εκτέλεσης μιας εκούσιας κίνησης και η βραδύτητα στην εκτέλεση κινήσεων. Στον εγκέφαλο των ατόμων που πάσχουν από Parkison βρέθηκαν μειωμένα ποσά των νευροδιαβιβαστών νοραδρεναλίνης, σεροτονίνης και ιδιαίτερα της ντοπαμίνης. Τα συμπτώματα της ασθένειας συχνά ελαττώνονται με ενδοφλέβια χορήγηση της ουσίας L-3,4,υδρόξυφαινυλαλανίνη (L-DOPA). Το αμινοξύ αυτό είναι πρόδρομη ένωση της ντοπαμίνης και οι θεραπευτικές ιδιότητές του αποδίδονται στη μετατροπή του στον εγκέφαλο των ασθενών σε ντοπαμίνη. .
|
Το νευρικό σύστημα αποτελείται από τον εγκέφαλο, το νωτιαίο μυελό και τα νεύρα. Όλα αυτά τα τμήματα του νευρικού συστήματος συνίστανται κυρίως από τα κύτταρα του νευρικού ιστού (νευρώνες και νευρογλοιακά κύτταρα). Οι νευρώνες είναι ειδικά διαφοροποιημένα κύτταρα και αποτελούνται από το κυτταρικό σώμα και από τις αποφυάδες του: τους δενδρίτες και το νευρίτη.
Τα νευρογλοιακά κύτταρα είναι βοηθητικά κύτταρα.
Στη μεμβράνη του νευρώνα, όταν δε δέχεται ερεθίσματα, υπάρχει διαφορά δυναμικού
(-70mV), που ονομάζεται δυναμικό ηρεμίας. Όταν η μεμβράνη δεχτεί ερέθισμα με ένταση μεγαλύτερη από μία οριακή τιμή, τότε, λόγω αλλαγών στη διαπερατότητα της μεμβράνης ως προς τα Κ+ και Na+, δημιουργούνται αλλαγές στο δυναμικό οι οποίες μεταφέρονται κατά μήκος του νευράξονα (νευρική ώση).
Οι νευρικές ώσεις μεταδίδονται από νευρώνα σε νευρώνα ή από νευρώνα σε εκτελεστικά όργανα διά μέσου των συνάψεων και με τη βοήθεια των νευροδιαβιβαστών.
|
ΕΡΩΤΗΣΕΙΣ
- Να συμπληρώσετε τα κενά με τις κατάλληλες λέξεις:
Κάθε νευρώνας αποτελείται από το …………… και από…………… τις…………… Οι τελευταίες διακρίνονται στους…………… και στον…………… ή…………… Οι νευρώνες, ανάλογα με τη λειτουργία που επιτελούν, διακρίνονται σε…………… σε…………… και σε……………
ή ……………
- Να σχηματίσετε τα σωστά ζευγάρια
α. Τελικά κομβία |
1. Άνιση κατανομή ιόντων |
β. Νευρογλοιακά κύτταρα |
2. Προσυναπτικό άκρο |
γ. Εκκριτικά κοκκία |
3. Βοηθητικός ρόλος |
δ. Αντλία Na+/K+ |
4. Νευροδιαβιβαστής |
- 3. Να αναγνωρίσετε και να κατονομάσετε τα τμήματα του νευρικού κυττάρου στο παρακάτω σχήμα.
- Να συμπληρώσετε τον παρακάτω πίνακα
Τύπος νευρώνα |
Λειτουργία |
Αισθητικός |
|
Κινητικός |
|
Ενδιάμεσος |
|
- Να σημειώσετε ποιες από τις παρακάτω προτάσεις είναι σωστές και ποιες λανθασμένες. Να αιτιολογήσετε την απάντησή σας:
α. Η επίδραση οποιουδήποτε ερεθίσματος έχει ως αποτέλεσμα τη δημιουργία νευρικής ώσης στο νευρώνα.
β. Όταν ο νευρώνας βρίσκεται σε ηρεμία, η συγκέντρωση των ιόντων Να+ στο εξωτερικό είναι μεγαλύτερη από τη συγκέντρωση ιόντων Να+ στο εσωτερικό,
γ. Όταν ο νευρώνας βρίσκεται σε ηρεμία η συγκέντρωση των ιόντων Κ+ στο εξωτερικό είναι μεγαλύτερη από τη συγκέντρωση ιόντων Κ+ στο εσωτερικό,
δ. Η νευρική ώση μπορεί να μεταφερθεί μόνο από το προσυναπτικό προς το μετασυναπτικό άκρο.
- Τι είναι το δυναμικό ηρεμίας και πώς δημιουργείται;
- Με ποιο τρόπο δημιουργείται η νευρική ώση;
|
ΠΕΡΙΦΕΡΙΚΟ ΝΕΥΡΙΚΟ ΣΥΣΤΗΜΑ
Νεύρα
Τα νεύρα αποτελούνται από δεσμίδες μακριών δενδριτών ή / και νευραξόνων, οι οποίες συγκρατούνται με τη βοήθεια συνδετικού ιστού. Οι νευρικές αποφυάδες που συνιστούν τα νεύρα περιβάλλονται από νευρογλοιακά κύτταρα και έχουν λευκή, γυαλιστερή όψη. Τα κυτταρικά σώματα των νευρώνων, των οποίων οι αποφυάδες συγκροτούν τα νεύρα, βρίσκονται είτε σε περιοχές του ΚΝΣ (εγκέφαλος και νωτιαίος μυελός) είτε στα γάγγλια, τα οποία είναι
αθροίσματα σωμάτων νευρικών κυττάρων εκτός του ΚΝΣ. Τα νεύρα, ανάλογα με τη λειτουργία τους, διακρίνονται σε αισθητικά, τα οποία αποτελούνται από αποφυάδες αισθητικών νευρώνων, σε κινητικά, τα οποία αποτελούνται από νευράξονες κινητικών νευρώνων και σε μεικτά, τα οποία περιέχουν και τα δύο είδη αποφυάδων.
Στον άνθρωπο υπάρχουν 12 ζεύγη εγκεφαλικών νεύρων, τα οποία είναι αισθητικά, κινητικά ή μεικτά (εικ. 9.6). Εκφύονται από τον εγκέφαλο και νευρώνουν κυρίως περιοχές της κεφαλής και του λαιμού.
 εικ. 9.6 Εγκεφαλικά νεύρα
|
Από το νωτιαίο μυελό εκφύονται 31 ζεύγη νωτιαίων νεύρων (εικ. 9.7). Όλα τα νωτιαία νεύρα είναι μεικτά, σχηματίζονται από αποφυάδες αισθητικών και κινητικών νευρώνων και νευρώνουν τον αυχένα, τον κορμό και τα άκρα.
Νευρικές οδοί - Αντανακλαστικά
Νευρική οδός είναι η διαδρομή που ακολουθούν οι νευρικές ώσεις μέσα στο νευρικό σύστημα. Οι οδοί που μεταφέρουν νευρικές ώσεις από το ΚΝΣ στα εκτελεστικά όργανα ονομάζονται κινητικές ή φυγόκεντρες, ενώ αυτές που μεταφέρουν νευρικές ώσεις από την περιφέρεια στο ΚΝΣ ονομάζονται αισθητικές ή κεντρομόλοι. Η απλούστερη νευρική οδός είναι το αντανακλαστικό τόξο, το οποίο συνήθως αποτελείται από τον αισθητικό νευρώνα, τους ενδιάμεσους νευρώνες και τους κινητικούς νευρώνες (εικ. 9.8). Οι ενδιάμεσοι νευρώνες αποτελούν το κέντρο επεξεργασίας του ερεθίσματος (Πίνακας 9.1).
 εικ 9.8 Αντανακλαστικό τόξο
|
|
Πίνακας 9.1: Τμήματα αντανακλαστικού τόξου και λειτουργίες τους
Τμήματα αντανακλαστικού τόξου |
Λειτουργία |
Υποδοχέας |
Είναι ευαίσθητος σε ειδικό τύπο αλλαγών του περιβάλλοντος. Οι αλλαγές έχουν ως αποτέλεσμα τη δημιουργία νευρικών ώσεων. |
Αισθητικός νευρώνας |
Μεταφέρει τη νευρική ώση από τον υποδοχέα στο νωτιαίο μυελό. |
Ενδιάμεσος νευρώνας |
Είναι το κέντρο επεξεργασίας. Μεταφέρει τη νευρική ώση από τον αισθητικό νευρώνα α) στον κινητικό νευρώνα και β) στον εγκέφαλο. |
Κινητικός νευρώνας |
Μεταφέρει τη νευρική ώση από το νωτιαίο μυελό στα εκτελεστικά όργανα. |
Εκτελεστικό όργανο |
Αποκρίνεται στο ερέθισμα (νευρική ώση) που προέρχεται από τον κινητικό νευρώνα. Οι αδένες εκκρίνουν ουσίες και οι μύες συσπώνται. |
Τα αντανακλαστικά είναι αυτόματες, ακούσιες απαντήσεις τις οποίες δίνει ο οργανισμός σε αλλαγές που πραγματοποιούνται μέσα ή έξω από το σώμα. Μέσω των αντανακλαστικών ελέγχονται απαντήσεις που πρέπει να εκδηλωθούν με ταχύτητα όπως οι αντιδράσεις σε κατάσταση έκτακτης ανάγκης και η αυτόματη διατήρηση της ισορροπίας. Τα αντανακλαστικά βοηθούν στη διατήρηση της ομοιόστασης του οργανισμού όπως, για παράδειγμα, στη ρύθμιση του καρδιακού και του αναπνευστικού ρυθμού, της πίεσης του αίματος κ.ά. Σε ορισμένα αντανακλαστικά, όπως είναι το άνοιγμα και κλείσιμο των βλεφάρων του οφθαλμού, συμμετέχει ο εγκέφαλος, ενώ σε άλλα, όπως η απομάκρυνση του χεριού από θερμό ή αιχμηρό αντικείμενο δε συμμετέχει.
Στο αντανακλαστικό του γόνατου συμμετέχουν δύο μόνο νευρώνες: ένας αισθητικός και ένας κινητικός. Οι απολήξεις του αισθητικού νευρώνα βρίσκονται στον τετρακέφαλο μηριαίο μυ και διεγείρονται ύστερα από κτύπημα στο σύνδεσμο της επιγονατίδας. Οι νευρικές ώσεις που δημιουργούνται φτάνουν στο νωτιαίο μυελό, όπου ο αισθητικός νευρώνας σχηματίζει σύναψη με τους δενδρίτες του κινητικού νευρώνα. Διά μέσου του κινητικού νευρώνα επιστρέφουν στο μυ, ο οποίος συσπάται με αποτέλεσμα την έκταση της κνήμης. Το αντανακλαστικό του γόνατου βοηθά στη διατήρηση της όρθιας στάσης (εικ. 9.9)
 εικ. 9.9 Αντανακλαστικό γόνατου
|
ΚΕΝΤΡΙΚΟ ΝΕΥΡΙΚΟ ΣΥΣΤΗΜΑ
Το Κεντρικό Νευρικό Σύστημα συντονίζει όλες τις λειτουργίες του οργανισμού. Αποτελείται από τον εγκέφαλο και από το νωτιαίο μυελό (εικ. 9.10α). Τα όργανα αυτά προστατεύονται μέσα στην κρανιακή κοιλότητα και το σπονδυλικό σωλήνα, αντίστοιχα. Επιπρόσθετα, τόσο ο εγκέφαλος όσο και ο νωτιαίος μυελός περιβάλλονται από τρεις προστατευτικές μεμβράνες, τις μήνιγγες. Ανάμεσα στις δύο εσωτερικές μήνιγγες (υπαραχνοειδής χώρος) κυκλοφορεί το εγκεφαλονωτιαίο υγρό, το οποίο μειώνει τους κραδασμούς και συμβάλλει στη στήριξη και θρέψη του εγκεφάλου και του νωτιαίου μυελού. Το εγκεφαλονωτιαίο υγρό κυκλοφορεί, επίσης, στον κεντρικό νευρικό σωλήνα του νωτιαίου μυελού και στις κοιλίες του εγκεφάλου. Αυτές είναι τέσσερις κοιλότητες στο εσωτερικό του εγκεφάλου, στις οποίες παράγεται το εγκεφαλονωτιαίο υγρό, και επικοινωνούν με τον κεντρικό νευρικό σωλήνα του νωτιαίου μυελού.

εικ. 9.10 α. Κεντρικό νευρικό σύστημα β. Νωτιαίος μυελός.
|
Νωτιαίος μυελός
Ο νωτιαίος μυελός είναι μία λεπτή, σχεδόν κυλινδρική στήλη νευρικού ιστού, που προστατεύεται μέσα στο σπονδυλικό σωλήνα. Ο νωτιαίος μυελός αρχίζει από το ύψος του ινιακού τρήματος και καταλήγει στο ύψος του δεύτερου οσφυϊκού σπονδύλου περίπου. Από το νωτιαίο μυελό εκφύονται 31 ζεύγη νωτιαίων νεύρων. Στην περιοχή του αυχένα και στην οσφυϊκή περιοχή ο νωτιαίος μυελός διογκώνεται (εικ. 9.10β). Από τις περιοχές αυτές εκφύονται τα νεύρα που νευρώνουν τα άνω και κάτω άκρα αντίστοιχα (εικ. 9.7).
Ο νωτιαίος μυελός περιέχει κέντρα αντανακλαστικών λειτουργιών και συνδέει τον εγκέφαλο με τα νωτιαία νεύρα. Η κεντρική περιοχή του νωτιαίου μυελού αποτελείται από φαιά ουσία, η οποία, σε διατομή, έχει σχήμα πεταλούδας με ανοικτά φτερά (εικ. 9.11). Η φαιά ουσία αποτελείται κυρίως από κυτταρικά
σώματα, ενώ η λευκή ουσία, που περιβάλλει τη φαιά, από μακριούς νευράξονες. Αυτοί συνδέουν τον εγκέφαλο, μέσω των νωτιαίων νεύρων, με τα διάφορα τμήματα του σώματος.
 εικ 9.11 Νωτιαίος μυελός σε εγκάρσια τομή α. διάγραμμα β. μικροφωτογραφία
|
Εγκέφαλος
Ο εγκέφαλος είναι το μεγαλύτερο και το πολυπλοκότερο τμήμα του νευρικού συστήματος.
Ο εγκέφαλος αποτελείται από νευρώνες, οι οποίοι δέχονται, επεξεργάζονται και μεταβιβάζουν ερεθίσματα. Εξειδικευμένες περιοχές του εγκεφάλου, τα κέντρα, είναι υπεύθυνες για τις αισθήσεις, την αντίληψη, τον
έλεγχο και το συντονισμό των μυϊκών κινήσεων και τις ανώτερες πνευματικές λειτουργίες. Στον εγκέφαλο εντοπίζονται επίσης κέντρα και νευρικές οδοί, που σχετίζονται με τη ρύθμιση της δραστηριότητας των σπλάχνων.
Ο εγκέφαλος χωρίζεται ανατομικά σε τρεις περιοχές: στα εγκεφαλικά ημισφαίρια, στο στέλεχος και στην παρεγκεφαλίδα (εικ. 9.12).
|
Μηνιγγίτιδα
Μηνιγγίτιδα είναι η φλεγμονή των μηνίγγων, που προκαλείται συνήθως από την είσοδο συγκεκριμένων βακτηρίων ή / και ιών στο εγκεφαλονωτιαίο υγρό. Η μικροβιακή μηνιγγίτιδα είναι λιγότερο συχνή αλλά και περισσότερο επικίνδυνη από την ιογενή. Τα πιο συνηθισμένα μικρόβια που την προκαλούν είναι ο μηνιγγιτιδόκοκκος, ο πνευμονιόκοκκος και ο αιμόφιλος τύπου Β. Η μετάδοση των μηνιγγιτιδόκοκκων γίνεται με το φίλημα και με τα σταγονίδια που εκτοξεύονται με το βήχα ή το φτάρνισμα. Εμφανίζεται συχνότερα στα νεογνά και στα παιδιά και είναι μία από τις πιο σοβαρές μολυσματικές ασθένειες της παιδικής ηλικίας. Αν γίνει έγκαιρη διάγνωση και θεραπεία (με χορήγηση αντιβιοτικών στην περίπτωση της μικροβιακής μηνιγγίτιδας), οι περισσότεροι ασθενείς αναρρώνουν πλήρως.
Το εγκεφαλονωτιαίο υγρό
Το εγκεφαλονωτιαίο υγρό παράγεται από ειδικά κύτταρα στις κοιλίες του εγκεφάλου και απορροφάται από κύτταρα της αραχνοειδούς μήνιγγας με αποτέλεσμα η πίεση του να παραμένει σταθερή. Σε περιπτώσεις μόλυνσης, ύπαρξης όγκου στον εγκέφαλο ή θρόμβου στο αίμα η κυκλοφορία του εγκεφαλονωτιαίου υγρού παρεμποδίζεται και η πίεσή του αυξάνεται. Η αύξηση της πίεσης μπορεί να προκαλέσει ακόμα και τραυματισμό του νευρικού ιστού. Στα νεογνά, στα οποία οι ραφές των οστών του κρανίου δεν έχουν σχηματιστεί, η αυξημένη πίεση μπορεί να προκαλέσει μεγέθυνση της κρανιακής κοιλότητας (υδροκεφαλία). Η πίεση μπορεί να μετρηθεί με την είσοδο λεπτής βελόνας ανάμεσα στον 3ο και 4ο οσφυϊκό σπόνδυλο (οσφυονωτιαία παρακέντηση) και μανόμετρο. Η οσφυονωτιαία παρακέντηση μπορεί να χρησιμοποιηθεί και για τη λήψη δείγματος εγκεφαλονωτιαίου υγρού και την εξέτασή του για τη διαπίστωση ύπαρξης μη φυσιολογικών συστατικών. Η παρουσία, για παράδειγμα, ερυθροκυττάρων αποτελεί ένδειξη αιμορραγίας σε κάποιο σημείο του ΚΝΣ.
|
Εγκεφαλικά ημισφαίρια
Τα εγκεφαλικά ημισφαίρια, που αποτελούν το σημαντικότερο τμήμα του εγκεφάλου, εμφανίζουν στην επιφάνειά τους πολυάριθμες προεξοχές και αυλακώσεις, οι οποίες ονομάζονται έλικες και αύλακες αντίστοιχα. Οι βαθύτερες αύλακες ονομάζονται σχισμές. Η επιμήκης σχισμή χωρίζει το αριστερό από το δεξί ημισφαίριο. Τα δύο ημισφαίρια συνδέονται στη βάση τους με μία «γέφυρα» νευρικών αποφυάδων, το μεσολόβιο. Άλλες σχισμές χωρίζουν το κάθε ημισφαίριο σε λοβούς, οι οποίοι ονομάζονται ανάλογα με το αντίστοιχο κρανιακό οστό που τους καλύπτει, και είναι ο μετωπιαίος, ο
βρεγματικός, ο κροταφικός και ο ινιακός (εικ. 9.13).
Τα εγκεφαλικά ημισφαίρια αποτελούνται
από ένα εξωτερικό στρώμα φαιάς ουσίας, το φλοιό των ημισφαιρίων, ο οποίος συνίσταται κυρίως από σώματα νευρώνων. Κάτω από το φλοιό των ημισφαιρίων βρίσκονται μάζες λευκής ουσίας, που περιέχουν δέσμες νευρικών αποφυάδων, οι οποίες συνδέουν τα σώματα των νευρώνων του φλοιού με άλλα τμήματα του εγκεφάλου. Η επιφάνεια του φλοιού αυξάνεται σημαντικά με την ύπαρξη των αυλάκων και των ελίκων. Ο φλοιός των ημισφαιρίων είναι η μοναδική περιοχή του ΚΝΣ που είναι υπεύθυνη για τις συνειδητές λειτουργίες.
Γνωρίζετε ότι:
Στον άνθρωπο η επιφάνεια του νευροφλοιού είναι 2,2 m2, και σ' αυτόν περιέχονται περίπου 30 x 109 νευρώνες, οι οποίοι σχηματίζουν 1014
έως 1015 συνάψεις.
Ο εγκέφαλος, αν και αποτελεί περίπου το 2% του συνολικού βάρους του σώματος, καταναλώνει το 20% της ενέργειας.
Η κατανάλωση ενέργειας αυξάνεται στις περιπτώσεις εκτέλεσης πολύπλοκων πνευματικών εργασιών, που απαιτούν συγκέντρωση και προσοχή όπως η κατανόηση μιας σύνθετης πρότασης. Δεν έχει βρεθεί καμία συσχέτιση ανάμεσα στο βάρος του εγκεφάλου και την ευφυΐα.

εικ. 9.13 Εγκέφαλος α. Κάτοψη β. Πρόσθια όψη γ. Οπίσθια όψη δ. Πλάγια όψη
|

Λειτουργικές περιοχές του εγκεφάλου
Οι περιοχές του εγκεφάλου που πραγματοποιούν συγκεκριμένες λειτουργίες έχουν εντοπιστεί με διάφορες τεχνικές. O φλοιός των ημισφαιρίων χωρίζεται σε κινητικές, αισθητικές και συνειρμικές περιοχές
(εικ. 9.14).
Οι κινητικές περιοχές εντοπίζονται στο μετωπιαίο λοβό. Οι κινήσεις των σκελετικών μυών συγκεκριμένου τμήματος του σώματος ελέγχονται πάντα από καθορισμένη περιοχή στο οπίσθιο τμήμα του μετωπιαίου λοβού (εικ. 9.15).
Αισθητικές είναι οι περιοχές του φλοιού
στις οποίες καταλήγουν νευρικές ώσεις από
τους αισθητικούς νευρώνες. Εκεί αναλύονται και ερμηνεύονται, με τελικό αποτέλεσμα τη δημιουργία των αισθήσεων και των συναισθημάτων. Οι σωματικές ή γενικές αισθήσεις (θερμοκρασία, αφή, πίεση και
πόνος) γίνονται αντιληπτές στην πρόσθια
περιοχή του βρεγματικού λοβού. Όπως συμβαίνει και με τις κινητικές περιοχές, καθορισμένες περιοχές του βρεγματικού λοβού είναι υπεύθυνες για την αντίληψη των ερεθισμάτων που προέρχονται από συγκεκριμένα
τμήματα του σώματος (εικ. 9.15).
Στο πίσω τμήμα του ινιακού λοβού εντοπίζεται το κέντρο της όρασης, και στον κροταφικό, το κέντρο της ακοής (εικ. 9.14).
Οι συνειρμικές περιοχές καταλαμβάνουν περισσότερο από το 50% της επιφάνειας του εγκεφαλικού φλοιού. Σχετίζονται με όλες τις ανώτερες πνευματικές λειτουργίες όπως είναι η μνήμη, η αιτιολόγηση, η έκφραση μέσω του λόγου, η κρίση, τα συναισθήματα (εικ. 9.14).
 εικ. 9.14 Κινητικές, αισθητικές και συνειρμικές περιοχές του εγκεφάλου
 εικ. 9.15 α. Περιοχή ελέγχου
εκούσιων κινήσεων (μετωπιαίος
λοβός) β. Περιοχή γενικών
αισθήσεων (βρεγματικός λοβός).
|
|
Πίνακας 9.2: Λειτουργίες των λοβών των ημισφαιρίων
Λοβός |
Λειτουργίες |
Μετωπιαίος |
Κέντρα ελέγχου εκούσιων κινήσεων των σκελετικών μυών. Συνειρμικά κέντρα, στα οποία πραγματοποιούνται ανώτερες πνευματικές και νοητικές διεργασίες όπως αυτές που σχετίζονται με το σχεδιασμό και τη λύση σύνθετων προβλημάτων και με την εκτίμηση των αποτελεσμάτων συμπεριφοράς. |
Βρεγματικός |
Αισθητικές περιοχές, οι οποίες αφορούν την αίσθηση της θερμοκρασίας, της αφής, της πίεσης και του πόνου. Κέντρο γεύσης.
Συνειρμικά κέντρα, στα οποία πραγματοποιούνται λειτουργίες για την κατανόηση και τη χρήση του λόγου, και για την έκφραση σκέψεων και συναισθημάτων. |
Κροταφικός |
Κέντρο ακοής, κέντρο όσφρησης. Συνειρμικά κέντρα στα οποία πραγματοποιείται η ερμηνεία αισθητικών εμπειριών, η μνήμη ήχων. |
Ινιακός |
Κέντρο όρασης.
Συνειρμικά κέντρα, τα οποία λειτουργούν για τη σύνδεση των οπτικών ερεθισμάτων με άλλες αισθητικές εμπειρίες. |
|
Νόσος Alzheimer
Η νόσος αυτή προσβάλλει στις ανεπτυγμένες χώρες το 5% των ατόμων ηλικίας πάνω από 65 ετών και το 20% των ατόμων ηλικίας πάνω από 80 ετών. Οδηγεί στην άνοια (προοδευτική απώλεια των πνευματικών λειτουργιών, ανεξάρτητη από αυτήν που συνοδεύει τη γήρανση του εγκεφάλου). Τα άτομα που προσβάλλονται από τη νόσο εμφανίζουν απώλεια μνήμης, μειωμένη ικανότητα σκέψης και λογικής αιτιολόγησης, δυσκολίες στην επικοινωνία με άλλα άτομα, ακόμα και ανικανότητα στην εκπλήρωση απλών καθημερινών
δραστηριοτήτων. Στους πάσχοντες παρατηρήθηκαν ανωμαλίες σε νευρώνες, κυρίως σε περιοχές του φλοιού των ημισφαιρίων. Στις περιοχές αυτές παρατηρούνται εξωκυτταρικές εναποθέσεις (αμυλοειδείς πλάκες), λόγω συσσώρευσης μίας μικρού μοριακού βάρους πρωτεΐνης, της β-αμυλοειδούς πρωτεΐνης. Η αυξημένη συγκέντρωση της πρωτεΐνης αυτής οδηγεί πιθανώς στη λύση των λυσοσωμάτων, με συνέπεια την καταστροφή των νευρικών κυττάρων. Η πρωτεΐνη αυτή αποτελεί τμήμα μιας άλλης πρόδρομης πρωτεΐνης, της ΑΡΡ (Amyloid Precusor Protein), που φυσιολογικά βρίσκεται στην κυτταρική μεμβράνη των νευρώνων και άλλων κυττάρων. Μία μορφή της νόσου φαίνεται να είναι κληρονομική. Έχει απομονωθεί γονίδιο στο 21ο ζεύγος των χρωμοσωμάτων, το οποίο καθορίζει τη δομή της πρόδρομης πρωτεΐνης. Η γονιδιακή αυτή θέση αποκτά ιδιαίτερο ενδιαφέρον, διότι όλα σχεδόν τα άτομα που πάσχουν από το σύνδρομο Down (τρισωμία 21) και επιβιώνουν μετά τα 35 έτη εμφανίζουν συμπτώματα της ασθένειας Alzheimer.
 Αμυλοειδής πλάκα (στο κέντρο της φωτογραφίας) σε
εγκεφαλικό ιστό ατόμου που
πάσχει από νόσο Alzheimer
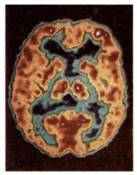
  Απεικόνιση PET εγκεφάλου
υγιή ενήλικα (αριστερά) και
ασθενή που πάσχει από νόσο Alzheimer (δεξιά).
Η αυξημένη επιφάνεια
σκουρόχρωμων περιοχών
στην εικόνα δεξιά δείχνει
διαταραχές στην εγκεφαλική δραστηριότητα
Χαρτογράφηση των λειτουργιών του εγκεφάλου
Στις 18.4.1861 ο Γάλλος νευρολόγος Pierre Paul Broca παρουσίασε στην Ανθρωπολογική Εταιρεία του Παρισιού την περίπτωση ενός ασθενή, ο οποίος, αν και κατανοούσε τη γλώσσα, δεν μπορούσε να εκφραστεί προφορικά ή γραπτά και να σχηματίσει ολοκληρωμένες νοηματικά, συντακτικά και γραμματικά προτάσεις. O ασθενής αυτός δεν παρουσίαζε κανένα πρόβλημα στο στόμα ή στις φωνητικές χορδές, που να επηρέαζε την ικανότητα του λόγου, και ήταν σε θέση να τραγουδήσει δίχως δυσκολία μία μελωδία ή να ψιθυρίσει μεμονωμένες λέξεις. Η εξέταση του εγκεφάλου του, μετά το θάνατο του, έδειξε μία παθολογική αλλοίωση στην πρόσθια περιοχή του αριστερού μετωπιαίου λοβού (κέντρο Broca). Η εξέταση από τον Broca του εγκεφάλου οκτώ ακόμα ασθενών με παρόμοια συμπτώματα απεκάλυψε την ίδια μορφή αλλοίωσης. Η εργασία αυτή απέδειξε για πρώτη φορά τη σύνδεση μίας ψυχονοητικής ικανότητας όπως ο λόγος με συγκεκριμένη περιοχή του φλοιού των ημισφαιρίων. Αποτέλεσε επίσης ένδειξη για την ύπαρξη ασυμμετρίας ανάμεσα στα δύο ημισφαίρια.
Η μελέτη ασθενών με συγκεκριμένες αλλοιώσεις στον εγκέφαλο, όπως και η καταγραφή των αντιδράσεων ύστερα από ηλεκτρική διέγερση συγκεκριμένων περιοχών του εγκεφάλου, συνεισφέρουν σημαντικά στη χαρτογράφηση των λειτουργιών του εγκεφάλου.
|
Στέλεχος του εγκεφάλου
Το στέλεχος συνδέει τα εγκεφαλικά ημισφαίρια με το νωτιαίο μυελό. Οι σημαντικότερες λειτουργικές περιοχές του είναι ο θάλαμος, ο υποθάλαμος και ο προμήκης.
Από το θάλαμο οι νευρικές ώσεις που
προέρχονται από τους αισθητικούς υποδοχείς
της περιφέρειας διοχετεύονται στις κατάλληλες περιοχές του φλοιού, όπου και αναλύονται.
Ο υποθάλαμος αποτελεί το κέντρο ομοιόστασης του οργανισμού. Ελέγχει την υπόφυση (αδένας), και με αυτό τον τρόπο αποτελεί και την περιοχή σύνδεσης του νευρικού συστήματος
με το σύστημα των ενδοκρινών αδένων. Ελέγχει επίσης το Αυτόνομο Νευρικό Σύστημα (ΑΝΣ). Τέλος, ο υποθάλαμος έχει σημαντικό ρόλο στη ρύθμιση του ύπνου.
Ο προμήκης έχει δομή παρόμοια με αυτήν του νωτιαίου μυελού. Περιλαμβάνει σημαντικά κέντρα του Αυτόνομου Νευρικού Συστήματος (ΑΝΣ) όπως αυτά που σχετίζονται με τον έλεγχο της αναπνοής, της καρδιακής λειτουργίας και της αρτηριακής πίεσης. Λόγω της ζωτικής σημασίας των κέντρων που περιέχει, βλάβη στον προμήκη συνεπάγεται το θάνατο.
Παρεγκεφαλίδα
Η παρεγκεφαλίδα αποτελείται από δύο ημισφαίρια, τα οποία συνδέονται με μία δομή που ονομάζεται σκώληκας. Συνίσταται κυρίως από λευκή ουσία, η οποία καλύπτεται επιφανειακά από ένα λεπτό στρώμα φαιάς ουσίας (φλοιός της παρεγκεφαλίδας). Αποτελεί κέντρο ελέγχου και συντονισμού των κινήσεων των σκελετικών μυών, κέντρο διατήρησης
του μυϊκού τόνου και της ισορροπίας του σώματος.
Για την πραγματοποίηση των παραπάνω
λειτουργιών η παρεγκεφαλίδα δέχεται, μέσω
της αισθητικής νευρικής οδού, νευρικές ώσεις από τα αισθητήρια της όρασης και της ισορροπίας και από υποδοχείς στους τένοντες
|
Μεταιχμιακό σύστημα
Το μεταιχμιακό σύστημα σχετίζεται με τις συναισθηματικές εμπειρίες και με την έκφραση συναισθημάτων. Περιλαμβάνει νευρικές οδούς, οι οποίες συνδέουν τμήματα του μετωπιαίου και κροταφικού λοβού με το θάλαμο, τον υποθάλαμο και με μάζες φαιάς ουσίας, που βρίσκονται μέσα στη λευκή ουσία των ημισφαιρίων (βασικοί πυρήνες). Η διέγερση περιοχών του μεταιχμιακού συστήματος έχει ως αποτέλεσμα την εκδήλωση συναισθημάτων μίσους, πόνου, ευχαρίστησης και λύπης. Με τη δημιουργία ευχάριστων ή δυσάρεστων συναισθημάτων, σε σχέση με τις εμπειρίες που βιώνει το άτομο, το μεταιχμιακό σύστημα το οδηγεί σε συμπεριφορές που αυξάνουν τις πιθανότητες επιβίωσης του.
.
Ηλεκτροεγκεφαλογράφημα
Η ηλεκτρική δραστηριότητα του εγκεφάλου μπορεί να καταγραφεί με τη βοήθεια ηλεκτροδίων, τα οποία τοποθετούνται σε διάφορα τμήματα της επιφάνειας του δέρματος του κρανίου και συνδέονται στη συνέχεια με ένα ειδικό όργανο, τον ηλεκτροεγκεφαλογράφο.

Τα εγκεφαλικά κύματα που καταγράφονται διαφέρουν σε ένταση και συχνότητα ανάλογα με τη δραστηριότητα διάφορων ομάδων νευρώνων. Όταν το άτομο είναι ξυπνητό καταγράφονται συνήθως δύο είδη κυμάτων, τα κύματα α και τα κύματα β. Τα κύματα α, με συχνότητα 6-13/ sec και διαφορά δυναμικού περίπου 45 mV κυριαρχούν, όταν το άτομο είναι σε ηρεμία με κλειστά τα μάτια, και εξαφανίζονται κατά τη διάρκεια του ύπνου. Τα κύματα β, με συχνότητα μεγαλύτερη από 13/sec αλλά ένταση μικρότερη από αυτήν των α, καταγράφονται, όταν το άτομο εκτελεί μία πνευματική εργασία.Τα κύματα θ, με συχνότητα 4-7/sec, που εμφανίζονται κυρίως στα παιδιά, μπορεί να καταγραφούν στους ενήλικες στα πρώτα στάδια του ύπνου και σε καταστάσεις συναισθηματικής φόρτισης. Τα κύματα δ, με συχνότητα μικρότερη από 4/sec, καταγράφονται κατά τη διάρκεια του βαθύ ύπνου, κατά την οποία, κάθε 90 min περίπου, καταγράφεται (για 5-20 min) έντονη ηλεκτρική δραστηριότητα. Αυτή οφείλεται στη δραστηριότητα ορισμένων περιοχών του εγκεφάλου (παράδοξος ύπνος). 0 παράδοξος ύπνος συνοδεύεται από όνειρα, ακανόνιστο καρδιακό και αναπνευστικό ρυθμό και από ταχεία κίνηση των βολβών των οφθαλμών.
Το ηλεκτροεγκεφαλογράφημα αποτελεί διαγνωστικό μέσο. Μπορεί να χρησιμοποιηθεί για τη διάγνωση μορφών επιληψίας και την ύπαρξη όγκων στον εγκέφαλο. Τέλος, χρησιμοποιείται για τον καθορισμό του εγκεφαλικού θανάτου σε ασθενείς που βρίσκονται σε κώμα, διότι η παύση της λειτουργίας του εγκεφάλου έχει ως συνέπεια την απουσία οποιασδήποτε ηλεκτρικής δραστηριότητας.
 Salvador Dali'. Ύπνος", 1937
Ανώτερες πνευματικές λειτουργίες
Μνήμη
Ο εγκέφαλος έχει τη δυνατότητα να αποθηκεύει πληροφορίες τις οποίες συγκεντρώνει μέσω των αισθητηρίων οργάνων-όπως ήχους, εικόνες, οσμές, που προέρχονται από το περιβάλλον του, και να τις ανακαλεί μεμονωμένα ή συνδυάζοντάς τες. Η ικανότητα αποθήκευσης και ανάκλησης των πληροφοριών ονομάζεται μνήμη. Η μνήμη είναι απαραίτητη προϋπόθεση για την πραγματοποίηση των ανώτερων πνευματικών λειτουργιών όπως αυτή της μάθησης, της
λογικής αιτιολόγησης, του λόγου κ.ά. Είναι, επίσης, απαραίτητη για την προσαρμογή της συμπεριφοράς του ατόμου στις άμεσες ανάγκες.
Η μνήμη είναι μία διαδικασία που πραγματοποιείται σε στάδια. Η βραχυπρόθεσμη μνήμη αφορά την παραμονή των πληροφοριών στον εγκέφαλο για λίγα μόνο λεπτά. Η βραχυπρόθεσμη μνήμη μπορεί να μετατραπεί σε μακροπρόθεσμη, η οποία σχετίζεται με μόνιμες δομικές και λειτουργικές αλλαγές
στα νευρικά κύτταρα του εγκεφάλου. Το χρονικό διάστημα που απαιτείται για τη μετατροπή αυτή εξαρτάται από το είδος, την ένταση και τη συχνότητα του ερεθίσματος. Ερεθίσματα πολύ έντονα ή επαναλαμβανόμενα, υπερβολικά ευχάριστα ή δυσάρεστα αποθηκεύονται ευκολότερα στη μακροπρόθεσμη μνήμη. Μερικές από τις πληροφορίες που αποθηκεύονται στη μακροπρόθεσμη μνήμη εξασθενούν με το χρόνο και τελικά διαγράφονται. Άλλες παραμένουν για πάντα ως τμήμα της συνείδησής μας, όπως είναι, για παράδειγμα, το όνομά μας.
Η μακροπρόθεσμη μνήμη περιλαμβάνει πολυάριθμα κυκλώματα νευρώνων, που εντοπίζονται σε διάφορες περιοχές του εγκεφάλου. Για παράδειγμα, τμήματα του ινιακού
και του κροταφικού λοβού σχετίζονται με τη μνήμη προσώπων, λέξεων, εικόνων και ήχων. Η ανάκληση από τη μνήμη ενός γεγονότος ή ενός αντικειμένου απαιτεί την ανάκληση και το συνδυασμό πληροφοριών αποθηκευμένων σε διάφορες περιοχές του εγκεφάλου (εικ. 9.16). Η ικανότητα του εγκεφάλου να αποθηκεύει πληροφορίες είναι απεριόριστη.
Σε περιπτώσεις τραυματισμού του εγκεφάλου, ή λόγω διάφορων ασθενειών, μπορεί να παρατηρηθεί απώλεια μνήμης, αμνησία. Η απώλεια συγκεκριμένου τύπου μνήμης εξαρτάται από την περιοχή του εγκεφάλου, που επηρεάστηκε από τον τραυματισμό ή από την ασθένεια. Για παράδειγμα, στις περιπτώσεις τραυματισμού περιοχών του κροταφικού λοβού παρατηρείται απώλεια στη μνήμη ήχων.
εικ. 9.16 Για την ανάκληση από τη μνήμη της έννοιας άνθος απαιτείται ο συνδυασμός αριθμού πληροφοριών όπως αυτές που αφορούν το σχήμα και το χρώμα του άνθους, το άρωμα που αναδύει, την ταυτοποίηση του συνδυασμού των γραμμάτων
α-ν-θ-ο-ς με τη λέξη άνθος κ.ά. Οι πληροφορίες αυτές είναι αποθηκευμένες σε διαφορετικές περιοχές του εγκεφάλου
Hoya carnosa (Ασκληπιός ή κεράκι)

|
Μάθηση
Μάθηση είναι η διαδικασία απόκτησης καινούριας γνώσης, που συμβάλλει στην προσαρμογή της συμπεριφοράς του ατόμου. Διακρίνονται διάφοροι τύποι μάθησης όπως ή εξοικείωση, η ευαισθητοποίηση, η συνειρμική μάθηση, η αντίληψη.
Η εξοικείωση είναι η αναγνώριση ενός ερεθίσματος ως μη σημαντικού, με συνέπεια ο οργανισμός να μαθαίνει να μην αντιδρά σε αυτό. Για παράδειγμα, ένας επαναλαμβανόμενος ήχος παύει ύστερα από κάποιο χρονικό διάστημα να προκαλεί την αντίδρασή μας. Αντίθετα η επαναλαμβανόμενη έκθεση του οργανισμού σε ένα επώδυνο ερέθισμα έχει ως αποτέλεσμα την ταχύτερη αντίδραση, ευαισθητοποίηση. Η συνειρμική μάθηση αφορά το συσχετισμό δύο ή περισσότερων ερεθισμάτων. Για παράδειγμα, έχουμε μάθει να αναμένουμε τον ήχο της βροντής ύστερα από τη λάμψη της αστραπής. Η αντίληψη, τέλος, αφορά τη δυνατότητα ανάκλησης από τη μνήμη προηγούμενων εμπειριών και τη χρήση τους για την επίλυση προβλημάτων
Συμπεριφορά
Συμπεριφορά είναι το σύνολο των απαντήσεων που δίνει ο οργανισμός στις μεταβολές του περιβάλλοντος. Η συμπεριφορά διαμορφώνεται από την αλληλεπίδραση γενετικών και περιβαλλοντικών παραγόντων. Συνήθως γίνεται διάκριση ανάμεσα στην ενστικτώδη συμπεριφορά και σε αυτή που τροποποιείται με τη μάθηση.
Η ενστικτώδης συμπεριφορά καθορίζεται άμεσα από το γενετικό υλικό. Περιλαμβάνει στερεότυπες απαντήσεις, οι οποίες δεν τροποποιούνται από το περιβάλλον. Παραδείγματα ενστικτώδους συμπεριφοράς είναι τα αντανακλαστικά και οι εκφράσεις του προσώπου όπως το χαμόγελο, η έκφραση φόβου κτλ.
Τέλος, υπάρχει η συμπεριφορά που τροποποιείται με τη μάθηση και βοηθά στη προσαρμογή του ατόμου στις αλλαγές του περιβάλλοντος. Απλούστερη μορφή αποτελούν η εξοικείωση και η ευαισθητοποίηση.
 «Το ποδόσφαιρο, αν εξεταστεί αντικειμενικά, αποτελεί μια από τις πιο περίεργες μορφές ανθρώπινης συμπεριφοράς που μπορεί να συναντήσει κανείς στη σύγχρονη κοινωνία» Desmond Morris.
|
ΑΥΤΟΝΟΜΟ ΝΕΥΡΙΚΟ ΣΥΣΤΗΜΑ
 εικ. 9.17 Αυτόνομο Νευρικό Σύστημα
Το Αυτόνομο Νευρικό Σύστημα (ΑΝΣ) περιλαμβάνει κέντρα που εντοπίζονται στο ΚΝΣ και κινητικά νεύρα (εικ. 9.17). Λειτουργεί συνεχώς και με ακούσιο τρόπο, και οι λειτουργίες του ρυθμίζονται κυρίως από αντανακλαστικά. Οι νευρικές ώσεις, που προέρχονται από υποδοχείς του δέρματος και των σπλάχνων, καταλήγουν σε κέντρα που βρίσκονται στον εγκέφαλο και στο νωτιαίο μυελό. Οι κινητικές ίνες που ξεκινούν από αυτά τα κέντρα φτάνουν στα γάγγλια του ΑΝΣ και από εκεί στα εκτελεστικά όργανα (αδένες, σπλάχνα). Η επεξεργασία των νευρικών ώσεων στα γάγγλια δίνει στο ΑΝΣ ένα βαθμό αυτονομίας από τον εγκέφαλο και το νωτιαίο μυελό.
Το ΑΝΣ χωρίζεται σε δύο κλάδους, στο συμπαθητικό και στο παρασυμπαθητικό.
Στην περίπτωση που και οι δύο κλάδοι του ΑΝΣ νευρώνουν το ίδιο όργανο, η δράση τους είναι ανταγωνιστική. Για παράδειγμα, η δράση του συμπαθητικού έχει ως αποτέλεσμα τη διαστολή της κόρης του οφθαλμού, ενώ η δράση του παρασυμπαθητικού έχει ως αποτέλεσμα τη συστολή της. Επίσης το ΑΝΣ ελέγχει την συχνότητα του καρδιακού παλμού, η οποία αυξάνεται με τη δράση του συμπαθητικού και ελαττώνεται με τη δράση του
παρασυμπαθητικού.
Το συμπαθητικό έχει, γενικά, σημαντικό ρόλο σε καταστάσεις έντασης ή έκτακτης ανάγκης. Το παρασυμπαθητικό, αντίθετα, ελέγχει τις λειτουργίες του οργανισμού, όταν αυτός βρίσκεται σε ηρεμία. Επαναφέρει επίσης τις λειτουργίες σε κανονικό ρυθμό ύστερα από καταστάσεις έντασης. Ο συντονισμός της δράσης των δύο συστημάτων ρυθμίζει με ακρίβεια τις ακούσιες λειτουργίες του μυοκαρδίου, των λείων μυών και των αδένων.
Το ΑΝΣ, αν και διατηρεί κάποιο βαθμό ελευθερίας, ελέγχεται από τον εγκέφαλο. Τα κέντρα ελέγχου της καρδιακής και αναπνευστικής
λειτουργίας, που βρίσκονται στον προμήκη, δέχονται πληροφορίες από υποδοχείς των σπλάχνων, και, μέσω του ΑΝΣ, δίνουν τις κατάλληλες εντολές στα εκτελεστικά όργανα. Παρόμοια, ο υποθάλαμος, ελέγχοντας το ΑΝΣ, ρυθμίζει τη θερμοκρασία του σώματος, τα αισθήματα της πείνας και της δίψας, το ισοζύγιο του νερού και των αλάτων. Ανώτερα κέντρα στον εγκέφαλο ρυθμίζουν, μέσω του ΑΝΣ, τη συναισθηματική έκφραση και τη συμπεριφορά ατόμων που βρίσκονται σε κατάσταση συναισθηματικής φόρτισης.
|
Το Νευρικό Σύστημα διαιρείται ανατομικά στο ΠΝΣ και το ΚΝΣ.
Το ΠΝΣ αποτελείται από 12 ζεύγη εγκεφαλικών και από 31 ζεύγη νωτιαίων νεύρων. Το ΠΝΣ νευρώνει τους σκελετικούς μυς και τα εσωτερικά όργανα.
Το ΚΝΣ αποτελείται από το νωτιαίο μυελό και τον εγκέφαλο. Ο νωτιαίος μυελός, ο οποίος βρίσκεται στο σπονδυλικό σωλήνα, περιέχει αντανακλαστικά κέντρα και δέσμες νευραξόνων, που συνδέουν τον εγκέφαλο με τα περιφερικά νεύρα. Τα αντανακλαστικά είναι αυτόματες απαντήσεις του οργανισμού σε διάφορα ερεθίσματα, και κάποια από αυτά δεν απαιτούν την μεσολάβηση του εγκεφάλου.
Ο εγκέφαλος, που προστατεύεται από τα οστά της κρανιακής κοιλότητας, από τις μήνιγγες και από το εγκεφαλονωτιαίο υγρό, αποτελεί κέντρο πολλών λειτουργιών. Τα ημισφαίρια είναι το σημαντικότερο τμήμα του εγκεφάλου Ο φλοιός
των ημισφαιρίων, ο οποίος λόγω των ελίκων και των αυλάκων έχει μεγάλη επιφάνεια, είναι το κέντρο των συνειδητών λειτουργιών. Κάθε λειτουργία εντοπίζεται σε συγκεκριμένη περιοχή του φλοιού των ημισφαιρίων και μπορεί να σχετίζεται με την κατανόηση και ερμηνεία διάφορων ερεθισμάτων, με τις εντολές προς τους σκελετικούς μυς ή με τις ανώτερες πνευματικές λειτουργίες όπως ο λόγος. Άλλα τμήματα του εγκεφάλου έχουν επίσης σημαντικό ρόλο στη μη συνειδητή ρύθμιση λειτουργιών. Ο υποθάλαμος αποτελεί το κέντρο ομοιόστασης του οργανισμού, ο προμήκης περιέχει κέντρα ρύθμισης της αναπνευστικής και της καρδιακής λειτουργίας και η παρεγκεφαλίδα αποτελεί το κέντρο της ισορροπίας.
Το ΑΝΣ λειτουργεί συνεχώς με ακούσιο τρόπο και νευρώνει όργανα, όπως τα σπλάχνα και η
καρδιά.
|
ΕΡΩΤΗΣΕΙΣ
- Τι είναι αντανακλαστικό: Ποια είναι η σημασία των αντανακλαστικών για τον οργανισμό;
- Ποιοι είναι οι δύο κλάδοι του ΑΝΣ; Σε ποια περίπτωση η δράση τους είναι ανταγωνιστική; Να δώσετε
ένα παράδειγμα.
-
Να ονομάσετε τα τμήματα του νωτιαίου μυελού στο παρακάτω σχήμα:

- Οι κοιλίες του εγκεφάλου είναι γεμάτες με:
α. Αέρα
β. Αίμα
γ. Εγκεφαλονωτιαίο υγρό
δ. Νευρικό ιστό.
- Να αναφέρετε το λοβό στον οποίο εντοπίζεται το καθένα από τα παρακάτω κέντρα:
| α. Κέντρο εκούσιων κινήσεων |
•Μετωπιαίος λοβός |
| β. Κέντρο σωματικών αισθήσεων |
•Βρεγματικός λοβός |
| γ. Κέντρο όρασης |
•Ινιακός λοβός |
| δ. Κέντρο ακοής. |
•Κροταφικός λοβός |
- Ποια είναι τα πιθανά αποτελέσματα στη λειτουργία των σκελετικών μυών ύστερα από βλάβη του κινητικού κέντρου (μετωπιαίος λοβός).
- Ο παρακάτω πίνακας θα σας βοηθήσει να συγκρίνετε τα αποτελέσματα της δράσης του συμπαθητικού και του παρασυμπαθητικού
|
Συμπαθητικό |
Παρασυμπαθητικό |
Κόρη του οφθαλμού |
|
|
Σιελογόνοι αδένες |
|
Διεγείρει την έκκριση σιέλου |
Καρδιακός ρυθμός |
|
|
α. Να συμπληρώσετε τον πίνακα αναφέροντας το αποτέλεσμα της δράσης του Συμπαθητικού και
του Παρασυμπαθητικού.
β. Πολλά άτομα υποφέρουν από τη «ναυτία των ταξιδιωτών». Μερικά από τα φάρμακα που χρησιμοποιούνται για τον έλεγχο αυτής της ασθένειας δρουν αναστέλλοντας τη δράση του παρασυμπαθητικού. Να εξηγήσετε γιατί μία από τις παρενέργειες αυτών των φαρμάκων είναι η απουσία σάλιου στη στοματική κοιλότητα (ξηροστομία). Για να απαντήσετε χρησιμοποιήστε πληροφορίες από τον παραπάνω πίνακα και δικές σας γνώσεις.
ΠΡΟΤΕΙΝΟΜΕΝΕΣ ΕΡΓΑΣΙΕΣ
- Μηνιγγίτιδα
α. Να συγκεντρώστε στοιχεία που αφορούν τη μηνιγγίτιδα (αίτια, συμπτώματα, τρόπος μετάδοσης,
πρόληψη κτλ.).
β. Να συγκεντρώσετε επίσης στοιχεία που αφορούν τον αριθμό των κρουσμάτων μηνιγγίτιδας τα τελευταία χρόνια στην περιοχή σας ή / και στην Ελλάδα. Ομαδοποιήστε τα περιστατικά με βάση την ηλικία,
το φύλο και την περίοδο εμφάνισης.
γ. Να αναπαραστήσετε γραφικά τα αποτελέσματα.
δ. Να συζητήσετε τις μεταβολές στους αριθμούς των περιστατικών και να προσπαθήσετε να τις αιτιολογήσετε.
ε. Θεωρείτε αιτιολογημένο τον πανικό που προκαλεί η εμφάνιση κρουσμάτων μηνιγγίτιδας; Τεκμηριώστε την άποψή σας.
στ. Να παρουσιάσετε την εργασία σας στην τάξη ή στο σχολείο σας.
|
|