3. ΚΥΚΛΟΦΟΡΙΚΟ ΣΥΣΤΗΜΑ
Η μεταφορά των θρεπτικών ουσιών στα
κύτταρα των ιστών και η απομάκρυνση από
αυτά των αχρήστων γίνεται από το κυκλοφορικό σύστημα, το οποίο αποτελείται από την καρδιά, τα αιμοφόρα αγγεία και το
αίμα που κυκλοφορεί μέσα σ' αυτά. Στενά συνδεδεμένο με το κυκλοφορικό σύστημα είναι
και το λεμφικό σύστημα, στο οποίο κυκλοφορεί η λέμφος.
ΚΑΡΔΙΑ

εικ. 3.1 Η θέση της καρδιάς και των κεντρικών αγγείων στη θωρακική κοιλότητα
Δομή και λειτουργία
Το κύριο όργανο του κυκλοφορικού συστήματος είναι η καρδιά. Βρίσκεται ανάμεσα
στους δύο πνεύμονες πίσω από το στέρνο
(εικ.3.1).
Είναι όργανο κωνικού σχήματος, που
αποτελείται από μυϊκό ιστό, το μυοκάρδιο,
και έχει μέγεθος μεγάλης γροθιάς.
|

εικ. 3.2 Λεπτομέρεια σε τομή του τοιχώματος
της καρδιάς
Η καρδιά στην πραγματικότητα είναι μία
μυώδης αντλία, η οποία αποτελείται από ένα
χαρακτηριστικό είδος μυός, τον καρδιακό
μυ. Οι μυϊκές ίνες του μυοκαρδίου συν-
δέονται μεταξύ τους κατάλληλα , επιτρέποντας τη σύγχρονη σύσπασή τους
(εικ.3.2,3.3).
Η καρδιά του ανθρώπου είναι τετράχωρη και αποτελείται από δύο κόλπους με λεπτά τοιχώματα, που βρίσκονται στο ανώτερο τμήμα της, και από δύο κοιλίες με παχύτερα τοιχώματα, που βρίσκονται στο κατώτερο τμήμα της. Οι δύο κοιλίες χωρίζονται μεταξύ τους με το μεσοκοιλιακό διάφραγμα και οι κόλποι με το μεσοκολπικό διάφραγμα (εικ.3.4). Δεν υπάρχει, επομένως, επικοινωνία ανάμεσα στους δύο κόλπους ή στις δύο κοιλίες. Πρέπει να σημειωθεί ότι η αριστερή κοιλία έχει παχύτερα τοιχώματα από τη δεξιά, διότι στέλνει το αίμα σε μεγαλύτερη απόσταση (σε όλο το σώμα). Μεταξύ των κόλπων και των κοιλιών υπάρχουν βαλβίδες που καθορίζουν τη μονόδρομη ροή του αίματος σε κάθε σύσπαση της καρδιάς.
Στην πραγματικότητα η καρδιά είναι μία
αντλία αναρροφητική και ταυτόχρονα συμπιεστική. Αναρροφητική, γιατί συγκεντρώνει
εικ. 3.3 Δομή καρδιακού μυός το αίμα από όλα τα τριχοειδή του σώματος μέσω των φλεβών, και συμπιεστική, διότι στέλνει το αίμα στα τριχοειδή όλου του σώματος μέσω των αρτηριών που ξεκινούν από τις κοιλίες της.
Το αίμα κινείται από τους κόλπους προς
τις κοιλίες, οι οποίες με τη συστολή τους το
στέλνουν σε δύο αρτηρίες.
Στο δεξιό κόλπο φτάνει το αίμα από την
περιφέρεια του σώματος, πλούσιο σε διοξείδιο του άνθρακα. Στον αριστερό κόλπο φτάνει το αίμα, που έχει ήδη περάσει από τους πνεύμονες και είναι πλούσιο σε οξυγόνο. Με τη συστολή των κόλπων το αίμα κινείται προς τις κοιλίες

εικ. 3.4 Δομή της καρδιάς σε σχέση με τα κεντρικά αγγεία
Στη συνέχεια, με τη συστολή των κοιλιών, και ενώ οι βαλβίδες κλείνουν εμποδίζοντας την παλινδρόμηση του αίματος προς τους κόλπους, το αίμα διοχετεύεται στις αρτηρίες. Από την αριστερή κοιλία εισέρχεται στην αορτή και κινείται προς την περιφέρεια του σώματος, ενώ από τη δεξιά κοιλία εισέρχεται
στην πνευμονική αρτηρία και κινείται προς τους πνεύμονες. Βαλβίδες που βρίσκονται στην είσοδο των δύο μεγάλων αρτηριών ελέγχουν τη ροή του αίματος από τις κοιλίες προς την αορτή και προς την πνευμονική αρτηρία (εικ.3.5).

εικ. 3.5 Ροή του αίματος στην καρδιά α) Χαλάρωση (μεταξύ δύο κτύπων) β) Συστολή των κόλπων γ) Συστολή των κοιλιών.
|
Ρύθμιση της καρδιακής λειτουργίας
 Η λειτουργία της καρδιάς συντονίζεται από εσωτερικούς φυσικούς βηματοδότες και με τη συνεργασία των κυττάρων του μυοκαρδίου, τα οποία μπορούν και συσπώνται απουσία νευρικής ή ορμονικής διέγερσης (αυτορύθμιση). Οι φυσικοί βηματοδότες της καρδιάς είναι δύο και βρίσκονται ο ένας στο τοίχωμα του δεξιού κόλπου (φλεβόκομβος) και ο άλλος στο σημείο επαφής του μεσοκολπικού και του μεσοκοιλιακού διαφράγματος (κολποκοιλιακός κόμβος) (εικ.3.6).
εικ. 3.6 Έλεγχος του καρδιακού ρυθμού
|
Για να διατηρείται στη ζωή ένας άνθρωπος, θα πρέπει η καρδιά του να πάλλεται συνεχώς. Οι παλμοί οφείλονται σε διαδοχικές συστολές και χαλαρώσεις του μυοκαρδίου. Ο φυσιολογικός αριθμός παλμών (κτύπων) της καρδιάς στους ενήλικες είναι περίπου 60-80 / λεπτό, που σημαίνει ότι αντιστοιχεί κάτι περισσότερο από ένας παλμός / δευτερόλεπτο. Στις γυναίκες οι παλμοί είναι λίγο περισσότεροι, ενώ οι παλμοί ενός μωρού κατά τη γέννηση του
μπορεί να φτάσουν τους 130 / λεπτό.
Η λειτουργία της καρδιάς επηρεάζεται και
από γεγονότα που συμβαίνουν στον υπόλοιπο οργανισμό. Όταν τα κύτταρα παρουσιάζουν
αυξημένη δραστηριότητα, όπως κατά τη διάρκεια σωματικής άσκησης, χρειάζονται περισσότερο αίμα. Τότε η καρδιά αναγκάζεται να αυξήσει το ρυθμό λειτουργίας
της, αυτορύθμιση.
Γνωρίζετε ότι:
Η καρδιά κτυπά περίπου 100.000 φορές τη μέρα και αντλεί 13.000 λίτρα αίμα.
|
ΑΙΜΟΦΟΡΑ ΑΓΓΕΙΑ
Το κυκλοφορικό σύστημα περιλαμβάνει
τρία είδη αγγείων. Τις αρτηρίες (και τα αρτηρίδια), που μεταφέρουν το αίμα από την καρδιά προς την περιφέρεια, τα τριχοειδή, που επιτρέπουν την ανταλλαγή ουσιών με τους ιστούς, και τις φλέβες (και τα φλεβίδια), που επαναφέρουν το αίμα στην καρδιά. Τα τριχοειδή αγγεία παρεμβάλλονται μεταξύ αρτηριών και φλεβών.
Αρτηρίες
Οι αρτηρίες έχουν παχύτερα τοιχώματα και μικρότερη εσωτερική διάμετρο από τις φλέβες και περισσότερο μυϊκό ιστό (εικ.3.7, εικ.3.8). Το αίμα διοχετεύεται στις αρτηρίες με κάθε συστολή των κοιλιών της καρδιάς. Κάθε φορά που διοχετεύεται μία ποσότητα αίματος στις αρτηρίες, τα τοιχώματά τους διευρύνονται με την πίεση του εισερχόμενου
αίματος και η διεύρυνση αυτή ονομάζεται
σφυγμός. Κάθε παλμός της καρδιάς προκαλεί ένα σφυγμό στις αρτηρίες, με αποτέλεσμα να έχουν τον ίδιο ρυθμό οι σφυγμοί των
αρτηριών και οι παλμοί της καρδιάς. Ο σφυγμός αυτός ανιχνεύεται στον καρπό του χεριού, καθώς και σε άλλα σημεία του σώματος.
Το αίμα προωθείται στο εσωτερικό των
αρτηριών και με τις συσπάσεις των τοιχωμάτων τους, που συντελούνται με τη βοήθεια
του μυϊκού ιστού που περιέχουν. Δύο είναι οι
μεγαλύτερες αρτηρίες του σώματος, η
πνευμονική αρτηρία και η αορτή. Όλες οι άλλες είναι διακλαδώσεις των παραπάνω αρτηριών. Το αίμα στις αρτηρίες, επειδή κινείται
με μεγαλύτερη ταχύτητα, εμφανίζει μεγαλύτερη πίεση απ' ό,τι στις φλέβες. Αρτηρίδια είναι διακλαδώσεις των αρτηριών, μόλις ορατές με γυμνό μάτι.
 εικ. 3.7 Δομή αιμοφόρων αγγείων
|
Φλέβες
Οι φλέβες είναι περισσότερες των αρτηριών και δεν εμφανίζουν σφυγμό. Στο εσωτερικό τους έχουν βαλβίδες, που επιτρέπουν μονόδρομη πορεία στο αίμα, ώστε να οδεύει αναγκαστικά προς την καρδιά (εικ.3.8). Τα φλεβίδια είναι μικρές φλέβες, οι οποίες συνενούμενες σε μεγαλύτερα στελέχη, τις φλέβες, επαναφέρουν το αίμα στην καρδιά. Ανά πάσα στιγμή, περισσότερο από τα 2/3 της συνολικής ποσότητας αίματος βρίσκεται στις φλέβες και στα φλεβίδια. Με τον τρόπο αυτό οι φλέβες λειτουργούν σαν δεξαμενές αίματος.
Γνωρίζετε ότι:
Κάθε στιγμή, οι φλέβες περιέχουν το 75%
της ποσότητας του αίματος, οι αρτηρίες
το 20% και τα τριχοειδή το 5%.
Τριχοειδή
Είναι τα πολυπληθέστερα και λεπτότερα αιμοφόρα αγγεία με εσωτερική διάμετρο όση περίπου κι ένα ερυθρό αιμοσφαίριο (7 μm), που σημαίνει ότι μόνο ένα ερυθρό αιμοσφαίριο χωράει να περάσει μέσα απ' αυτά (εικ.3.7), (εικ.3.8). Τα τριχοειδή παρεμβάλλονται μεταξύ αρτηριών και φλεβών, έχουν δε έναν πολύ σημαντικό ρόλο στη λειτουργία του κυκλοφορικού συστήματος και του οργανισμού γενικότερα. Μέσω των τοιχωμάτων τους, τα οποία συνίστανται από ένα μονόστιβο στρώμα επιθηλιακών κυττάρων, το ενδοθήλιο, γίνεται η ανταλλαγή των ουσιών ανάμεσα στο αίμα και στους ιστούς, καθώς και η ανταλλαγή, με παθητική διάχυση, του οξυγόνου και του διοξειδίου του άνθρακα. Τα τοιχώματα των τριχοειδών επιτρέπουν επίσης στα λευκοκύτταρα να τα διαπερνούν και να φτάνουν όπου είναι απαραίτητη η παρουσία τους για την άμυνα του οργανισμού.
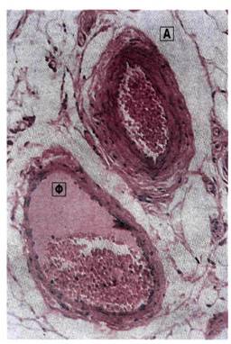
 α) Τομή αρτηρίας (Α) και φλέβας (Φ)
 β) Τα τρία είδη των αιμοφόρων αγγείων
εικ. 3.8 Διαφορές στη δομή των αιμοφόρων αγγείων
|
|

εικ.3.9 Δίκτυο τριχοειδών που τροφοδοτεί μία ομάδα σωματικών κυττάρων. 1) Τα κύτταρα των ιστών περιβάλλονται από ένα υγρό, το μεσοκυττάριο υγρό (υγρό των ιστών), από το οποίο παίρνουν θρεπτικά συστατικά και στο οποίο αφήνουν ουσίες που δεν τους χρειάζονται. 2) Η πίεση του αίματος, στο αρτηριακό άκρο των τριχοειδών, είναι σχετικά υψηλή σε σχέση με το μεσοκυττάριο υγρό, με αποτέλεσμα μικρά μόρια που βρίσκονται στο πλάσμα να διαπερνούν τα τοιχώματα των τριχοειδών. 3) Τα ερυθροκύτταρα, καθώς και μεγάλα μόρια όπως οι πρωτεΐνες, παραμένουν στο εσωτερικό των τριχοειδών. 4) Στο φλεβικό άκρο των τριχοειδών η απώλεια μορίων από το αίμα έχει ως αποτέλεσμα την πτώση της πίεσης. Η μειωμένη πίεση του αίματος, σε σχέση με το μεσοκυττάριο υγρό, έχει ως αποτέλεσμα μία ποσότητα από το υγρό αυτό μαζί με άχρηστα συστατικά να επαναρροφάται από τα τριχοειδή του φλεβικού άκρου
Γνωρίζετε ότι:
Το συνολικό μήκος των αρτηριών, των φλεβών και των τριχοειδών του ανθρώπινου σώματος είναι 100.000 km.
|
Αρτηριακή πίεση
Ο όρος «πίεση του αίματος» εκφράζει την πίεση που ασκείται από το αίμα στο τοίχωμα ενός αιμοφόρου αγγείου. Συνήθως αναφερόμαστε στην πίεση των τοιχωμάτων των αρτηριών. Σε κάθε συστολή της καρδιάς η πίεση του αίματος στις αρτηρίες κυμαίνεται από 110 έως 150 mmHg και ονομάζεται συστολική ή μέγιστη αρτηριακή πίεση. Όταν η καρδιά χαλαρώνει, η πίεση αυτή γίνεται 80 mmHg και τότε ονομάζεται διαστολική ή ελάχιστη
αρτηριακή πίεση (εικ.3.10).
Η πίεση που ασκεί το αίμα στα τοιχώματα των αγγείων μειώνεται, καθώς το αίμα κινείται από τις αρτηρίες προς τα αρτηρίδια και τα τριχοειδή. Στην περιοχή των φλεβών ελαχιστοποιείται. Η πτώση αυτή της πίεσης, οφείλεται στην τριβή μεταξύ αίματος και τοιχωμάτων των αγγείων. Η πίεση του αίματος είναι υπεύθυνη για την ταχύτητα ροής του αρτηριακού αίματος. Η ταχύτητα αυτή ελαχιστοποιείται στην περιοχή των τριχοειδών, και διευκολύνεται έτσι η ανταλλαγή ουσιών μεταξύ τριχοειδών και των κυττάρων των ιστών (εικ. 3.11). Στη συνέχεια η κίνηση του φλεβικού αίματος επιτυγχάνεται με τη συστολή των σκελετικών μυών (εικ.3.12).
Η πίεση του αίματος είναι ένας δείκτης
της υγείας ενός ατόμου και συνήθως αυξάνεται με την πάροδο της ηλικίας. Η παθολογική αύξηση της αρτηριακής πίεσης ονομάζεται αρτηριακή υπέρταση, ενώ η παθολογική μείωση της τιμής της ονομάζεται αρτηριακή υπόταση. Η υπέρταση θεωρείται ένας ύπουλος εχθρός για την υγεία, διότι τις περισσότερες φορές την αγνοούμε, μέχρι τη στιγμή που θα συμβεί κάποιο καρδιακό επεισόδιο. Οι κίνδυνοι από την υπέρταση αφορούν τη λειτουργία της καρδιάς, του εγκεφάλου και των νεφρών. Για το λόγο αυτό
 ε/κ. 3.10 Προσδιορισμός της αρτηριακής πίεσης
 εικ. 3.11 Μεταβολές της πίεσης και της ταχύτητας ροής του αίματος στα αιμοφόρα αγγεία
|
είναι σημαντικό να ελέγχεται η πίεση του αίματος, αλλά και να επιλέγεται ένας τρόπος ζωής, όπως αποφυγή του καπνίσματος, υγιεινή διατροφή και άσκηση, που να μας προφυλάσσει από την εμφάνισή της.
εικ. 3.12 Ροή του αίματος με τη συστολή των σκελετικών μυών
|
Η καρδιά του ανθρώπου είναι τετράχωρη, με
δύο κόλπους στο ανώτερο τμήμα της και δύο κοιλίες στο κατώτερο. Δύο βαλβίδες επιτρέπουν την επικοινωνία μεταξύ δεξιού κόλπου και δεξιάς κοιλίας η μία, και μεταξύ αριστερού κόλπου και αριστερής κοιλίας η άλλη.
Σύσπαση (συστολή) και χαλάρωση (διαστολή) της καρδιάς σε συνδυασμό με την ύπαρξη βαλβίδων έχει ως αποτέλεσμα τη μονόδρομη ροή του αίματος. Η δεξιά πλευρά της καρδιάς στέλνει το αίμα στους πνεύμονες και η αριστερή σε όλο το σώμα.
Το κυκλοφορικό σύστημα περιλαμβάνει τρία είδη αγγείων, τις αρτηρίες, τις φλέβες και τα τριχοειδή. Τα αγγεία αυτά έχουν δομικές και λειτουργικές διαφορές.
Η πίεση του αίματος είναι υπεύθυνη για τη ροή του στις αρτηρίες, και η συστολή των σκελετικών μυών για τη ροή του στις φλέβες
|
ΕΡΩΤΗΣΕΙΣ
- Ποιος είναι ο ρόλος των βαλβίδων της καρδιάς;
- Να αναφέρετε έναν τουλάχιστο λόγο που να δικαιολογεί τα παρακάτω:
α. Η αριστερή κοιλία έχει παχύτερα τοιχώματα από τη δεξιά.
β. Οι αρτηρίες έχουν περισσότερο μυϊκό ιστό στα τοιχώματά τους απ' ότι οι φλέβες.
γ. Οι φλέβες έχουν βαλβίδες.
δ. Τα τριχοειδή έχουν πολύ λεπτά τοιχώματα.
-
 Στη φωτογραφία που ακολουθεί φαίνονται σε κάθετη τομή μία αρτηρία και μία φλέβα. Να αναφέρετε τρεις λόγους για τους οποίους η ένδειξη Α αντιστοιχεί σε αρτηρία.
- Στο διάγραμμα του τριχοειδούς που ακολουθεί να τοποθετήσετε τις παρακάτω ενδείξεις: αρτηριακό
άκρο, πρωτεΐνες του πλάσματος, φλεβικό άκρο, οξυγόνο, θρεπτικές ουσίες, διοξείδιο του άνθρακα,
νερό.

-
Στο διάγραμμα φαίνονται οι μεταβολές στην
πίεση του αίματος, καθώς αυτό κινείται από τις
αρτηρίες στις φλέβες μέσω των τριχοειδών,
α.Να εξηγήσετε την κυματοειδή μορφή της
καμπύλης στις αρτηρίες και στα αρτηρίδια.
β. Σε ποιο σημείο του κυκλοφορικού συστήματος έχουμε τη μεγαλύτερη πτώση της πίεσης.
- Σε ποια αιμοφόρα αγγεία το αίμα ρέει με μικρότερη ταχύτητα; Τι διευκολύνει το είδος της ροής αυτής;
- Ποιοι παράγοντες συμβάλλουν στη ροή του φλεβικού αίματος προς την καρδιά;
|
Η ΚΥΚΛΟΦΟΡΙΑ ΤΟΥ ΑΙΜΑΤΟΣ
 εικ. 3.13 Το κυκλοφορικό σύστημα του ανθρώπου
Το κυκλοφορικό σύστημα, όπως φαίνεται και στην εικ.3.13, περιλαμβάνει τρεις βασικές πορείες: τη μεγάλη ή συστηματική κυκλοφορία, μέσω της οποίας το αίμα από την καρδιά μεταφέρεται σε όλο το σώμα και επιστρέφει στην καρδιά, τη μικρή ή πνευμονική κυκλοφορία, μέσω της οποίας το αίμα μεταφέρεται από την καρδιά στους πνεύμονες και πάλι στην καρδιά, και τέλος τη στεφανιαία κυκλοφορία, που τροφοδοτεί την καρδιά.
|
Η ΚΥΚΛΟΦΟΡΙΑ ΤΟΥ ΑΙΜΑΤΟΣ
Μικρή (πνευμονική) κυκλοφορία
Αίμα από όλα τα σημεία του σώματος συγκεντρώνεται αρχικά στο δεξιό κόλπο της
καρδιάς και στη συνέχεια περνά στη δεξιά
κοιλία, η οποία με τη συστολή της το διοχετεύει στην πνευμονική αρτηρία, η οποία είναι η μόνη αρτηρία που μεταφέρει μη οξυγονωμένο αίμα. Μέσω της αρτηρίας αυτής, που στη συνέχεια διακλαδίζεται σε δύο, το αίμα φτάνει στους πνεύμονες. Εκεί γίνεται η ανταλλαγή αερίων, κατά την οποία το αίμα παραλαμβάνει το οξυγόνο και αποβάλλει το διοξείδιο του άνθρακα. Στη συνέχεια, το οξυγονωμένο αίμα, μέσω των πνευμονικών φλεβών, επιστρέφει στον αριστερό κόλπο της καρδιάς. Από τον αριστερό κόλπο περνά στην αριστερή κοιλία και στη συνέχεια στην αορτή, απ' όπου ξεκινά η μεγάλη κυκλοφορία του αίματος.
Μεγάλη κυκλοφορία
Στη μεγάλη κυκλοφορία συμμετέχουν αρτηρίες, που μεταφέρουν το αίμα από την αριστερή κοιλία της καρδιάς προς όλα τα σημεία του σώματος, και φλέβες, που το επαναφέρουν στο δεξιό κόλπο της καρδιάς. Συμμετέχουν επίσης και τα τριχοειδή, που είναι διάσπαρτα στους ιστούς με τη μορφή δικτύων και των οποίων η συνολική επιφάνεια ξεπερνάει τα 500 m2. Τρία μεγάλα αγγεία συμμετέχουν στη μεγάλη κυκλοφορία του αίματος η αορτή και η άνω και κάτω κοίλη φλέβα. Τα δύο τελευταία αγγεία συλλέγουν το αίμα καθώς επιστρέφει απ' όλα τα σημεία του σώματος και το επαναφέρουν στο δεξιό κόλπο της καρδιάς.
Στη μεγάλη κυκλοφορία το αίμα από την αριστερή κοιλία της καρδιάς, μέσω της αορτής και των διακλαδώσεών της, κατευθύνεται προς όλα τα σημεία του σώματος. Στα κατευθύνονται σε καθεμία από τις πλευρές της
καρδιάς. Αυτές, μέσω τριχοειδών, συν-
δέονται με τις στεφανιαίες φλέβες, οι οποίες
μεταφέρουν το αίμα στο δεξιό κόλπο της
καρδιάς (εικ.3.14).
εικ. 3.14 Εξωτερική μορφολογία της καρδιάς. Στεφανιαίες αρτηρίες και φλέβες
τριχοειδή αγγεία γίνεται η ανταλλαγή των χρήσιμων συστατικών (οξυγόνο, υδατάνθρακες, ορμόνες κτλ.), με τις άχρηστες ή τοξικές ουσίες που παράγονται με τον κυτταρικό μεταβολισμό (ουρία, διοξείδιο του άνθρακα κτλ.). Το αίμα, με τις ουσίες που πρέπει να αποβληθούν, περνά στα λεπτά φλεβικά αγγεία (φλεβίδια) και με την άνω και κάτω κοίλη φλέβα επανέρχεται στο δεξιό κόλπο της καρδιάς.
Στη μεγάλη κυκλοφορία του αίματος παρεμβάλλονται δύο σημαντικά όργανα του σώματος, οι νεφροί και το ήπαρ.
Το αίμα φτάνει στους νεφρούς με δύο αγγεία, τη δεξιά και αριστερή νεφρική αρτηρία. Εκεί αποβάλλονται τοξικές ουσίες όπως η ουρία, καθώς και η περίσσεια του νερού. Στη συνέχεια το αίμα απάγεται από τους νεφρούς με τις νεφρικές φλέβες, οι οποίες συνδέονται με τα κεντρικά φλεβικά αγγεία.
Το αίμα φτάνει στο ήπαρ με την ηπατική αρτηρία και την πυλαία φλέβα. Με την ηπατική αρτηρία τροφοδοτείται το ήπαρ με οξυγονωμένο αίμα. Με την πυλαία φλέβα διοχετεύεται στο ήπαρ αίμα από το στομάχι, το έντερο, τη σπλήνα, το πάγκρεας και τη χοληδόχο κύστη. Το αίμα αυτό είναι πλούσιο σε ουσίες που έχουν παραληφθεί από τα όργανα αυτά. Στη συνέχεια οι ουσίες αυτές διοχετεύονται στην κυκλοφορία μέσω της ηπατικής φλέβας.
Στεφανιαία κυκλοφορία
Η μεταφορά θρεπτικών ουσιών στους ιστούς της καρδιάς και η απομάκρυνση από αυτούς των άχρηστων προϊόντων του μεταβολισμού γίνεται με τη στεφανιαία κυκλοφορία. Αυτή περιλαμβάνει δύο μεγάλα αγγεία, τις στεφανιαίες αρτηρίες, που ξεκινούν από την αορτή και στην συνέχεια
.
|
Προβλήματα στη λειτουργία του κυκλοφορικού συστήματος
Οι καρδιαγγειακές παθήσεις αποτελούν την πρώτη αιτία θανάτου στις αναπτυγμένες χώρες. Η σύγχρονη όμως έρευνα δίνει δυνατότητες για πρόληψη, διάγνωση και θεραπεία των περισσότερων καρδιακών παθήσεων. Οι καρδιοπάθειες διακρίνονται σε συγγενείς και επίκτητες. Οι πρώτες αφορούν συνήθως τη λειτουργία των βαλβίδων και έχουν ως αποτέλεσμα διαταραχές στην παροχή αίματος στους κόλπους και στις κοιλίες ή την επικοινωνία ανάμεσα στις κοιλίες ή ανάμεσα στους κόλπους, με αποτέλεσμα να αναμειγνύεται το οξυγονωμένο με το μη οξυγονωμένο αίμα. Πολλές από τις καρδιοπάθειες αυτές οφείλονται στον ιό της ερυθράς, από τον οποίον προσβλήθηκε η μητέρα του πάσχοντα τους πρώτους μήνες της εγκυμοσύνης της. Κάποιες από τις παραπάνω παθήσεις επιδέχονται χειρουργική επέμβαση. Στις επίκτητες καρδιοπάθειες ανήκουν οι περικαρδίτιδες, μυοκαρδίτιδες και ενδοκαρδίτιδες, που οφείλονται σε μόλυνση του περικαρδίου, μυοκαρδίου ή ενδοκαρδίου, αντίστοιχα, από μικρόβια και ιούς. Πολλά προβλήματα της καρδιάς είναι αποτέλεσμα της κακής στεφανιαίας κυκλοφορίας. Η μειωμένη οξυγόνωση των κυττάρων του μυοκαρδίου προκαλεί την εξασθένησή τους με αποτέλεσμα την ισχαιμία του μυοκαρδίου. Ένα πιο σοβαρό πρόβλημα είναι το έμφραγμα του μυοκαρδίου, κατά το οποίο έχουμε νέκρωση ενός τμήματος του καρδιακού μυός, λόγω διακοπής της αιμάτωσής του εξαιτίας ενός θρόμβου ή εμβόλου σε μία από τις στεφανιαίες αρτηρίες. Οι συνέπειες του εμφράγματος εξαρτώνται από το μέγεθος και τη θέση της προσβεβλημένης περιοχής.
Η αρτηριοσκλήρυνση οφείλεται στη συσσώρευση λιπιδίων, ιδίως χοληστερόλης, κάτω από το εσωτερικό τοίχωμα των αρτηριών. Ακολουθεί η
εναπόθεση ασβεστίου, με αποτέλεσμα τη μειωμένη ελαστικότητα των αγγείων
αυτών. Αν η αρτηριοσκλήρυνση προχωρήσει, εμφανίζονται στενώσεις των
αρτηριών, οι οποίες παρεμποδίζουν τη διέλευση του αίματος, με αποτέλεσμα
τις ισχαιμίες διάφορων οργάνων (μυοκαρδίου, εγκεφάλου, νεφρών κτλ.), και
μπορεί να αποτελέσουν αίτιο δημιουργίας θρόμβου. Αν συμβεί πλήρης
απόφραξη μιας αρτηρίας, (θρόμβωση εγκεφαλικής αρτηρίας ή έμφραγμα του
μυοκαρδίου), αυτό συνήθως συνεπάγεται μόνιμη νέκρωση του ιστού που
αιματώνεται από αυτήν.
Το ανεύρυσμα είναι η διόγκωση μιας λεπτής και εξασθενημένης περιοχής του τοιχώματος ενός αγγείου (αρτηρίας ή φλέβας), που μοιάζει με μπαλόνι. Αιτίες του ανευρύσματος είναι η αρτηριοσκλήρυνση, συγγενείς παθήσεις των αρτηριών κτλ.
Τα τελευταία χρόνια οι καρδιαγγειακές παθήσεις έχουν πάρει τη μορφή επιδημίας στις δυτικές χώρες. Παράγοντες που ενοχοποιούνται για την πρόκληση καρδιοπαθειών είναι η παχυσαρκία, η υψηλή αρτηριακή πίεση, το κάπνισμα, η χοληστερίνη, ο σακχαρώδης διαβήτης, η ηλικία, το φύλο και η γενετική προδιάθεση.
Άτομα στα οποία συνυπάρχουν κάποιοι απ' αυτούς τους παράγοντες έχουν
μεγαλύτερες πιθανότητες να υποστούν καρδιακό επεισόδιο.

|
Αγγειοπλαστική - Bypass
Σήμερα για την απόφραξη των αρτηριών χρησιμοποιούνται κυρίως δύο τύποι χειρουργικών επεμβάσεων, η αγγειοπλαστική και το bypass. Στην πρώτη περίπτωση ο καρδιοχειρουργός τοποθετεί έναν πλαστικό σωλήνα μέσα σε ένα μεγάλο αρτηριακό αγγείο του χεριού ή του ποδιού και τον οδηγεί προς την καρδιά. Όταν ο σωλήνας πλησιάσει την περιοχή της στένωσης σε μία στεφανιαία αρτηρία, ένα μπαλονάκι που βρίσκεται προσκολλημένο στο άκρο του σωλήνα φουσκώνει, διευρύνοντας με τον τρόπο αυτό το αγγείο. Υπάρχουν διάφορες εναλλακτικές λύσεις της παραπάνω μεθόδου, όπως η τεχνική Laser κτλ.
Κάθε χρόνο χιλιάδες άτομα υποβάλλονται σε εγχειρήσεις bypass στις στεφανιαίες αρτηρίες. Κατά τη διάρκεια της επέμβασης αυτής λαμβάνεται τμήμα από ένα άλλο αιμοφόρο αγγείο του σώματος του ασθενούς και τοποθετείται το ένα άκρο του στην αορτή και το άλλο στη στεφανιαία αρτηρία, αμέσως μετά το φραγμένο σημείο.

|
Με τη μεγάλη κυκλοφορία το οξυγονωμένο αίμα από την αριστερή κοιλία της καρδιάς πηγαίνει
σε όλο το σώμα μέσω των αρτηριών. Στη συνέχεια
μέσω των τριχοειδών οδηγείται στις φλέβες, οι
οποίες το επαναφέρουν στο δεξιό κόλπο.
Με τη μικρή κυκλοφορία αίμα πλούσιο σε
διοξείδιο του άνθρακα από τη δεξιά κοιλία, μέσω
.
των πνευμονικών αρτηριών, πηγαίνει στους
πνεύμονες και στη συνέχεια επιστρέφει, πλούσιο
σε οξυγόνο, στον αριστερό κόλπο της καρδιάς,
μέσω των πνευμονικών φλεβών.
Η στεφανιαία κυκλοφορία τροφοδοτεί την
καρδιά.
|
ΕΡΩΤΗΣΕΙΣ
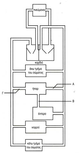
- Το διάγραμμα που ακολουθεί απεικονίζει την
κυκλοφορία του αίματος,

(α) Να ονομάσετε τα αγγεία με την ένδειξη Α
και Γ.
(β) Να καθορίσετε το είδος των αγγείων που
συνδέουν μεταξύ τους τα αγγεία Α και Γ.
(γ) Με ένα βέλος να δείξετε τη ροή του αίματος στο αγγείο με την ένδειξη Β.
(δ) Ποιος είναι ο ρόλος της καρδιάς στην κυκλοφορία του αίματος;
-
Να περιγράψετε την πορεία του αίματος από τη
στιγμή που θα φτάσει στο δεξιό κόλπο της καρδιάς μέχρι την είσοδο του στην αριστερή κοιλία.
.
- Σε τι διαφέρει η σύσταση του αίματος της πυλαίας φλέβας από αυτήν της ηπατικής φλέβας;
|
ΑΙΜΑ
Το αίμα με γυμνό μάτι φαίνεται να είναι ένα απλό υγρό. Στην πραγματικότητα όμως πρόκειται για έναν πολύ εξειδικευμένο ιστό, ο οποίος αποτελείται από πολλά είδη κυττάρων, τα οποία αιωρούνται σ' ένα υγρό, το πλάσμα. Τα κύτταρα του αίματος διακρίνονται σε τρεις ομάδες και είναι τα ερυθρά αιμοσφαίρια ή ερυθροκύτταρα, τα λευκά αιμοσφαίρια ή λευκοκύτταρα και τα
αιμοπετάλια. Όλα αυτά τα κύτταρα
αποτελούν τα έμμορφα συστατικά του αίματος, καταλαμβάνουν περίπου το 45% του όγκου του και παράγονται στον ερυθρό μυελό των οστών (εικ. 3.15). Το πλάσμα αποτελείται από νερό (90% του όγκου του), μέσα στο οποίο είναι διαλυμένα ανόργανα άλατα, ορμόνες, πρωτεΐνες, θρεπτικές ουσίες κ.ά. Στον ενήλικα υπάρχουν κατά μέσο όρο 5,5 λίτρα αίματος.
Ερυθρά αιμοσφαίρια
Τα ερυθρά αιμοσφαίρια είναι πολυπληθή. Μία σταγόνα αίματος περιέχει εκατομμύρια ερυθροκυττάρων. Ο ρόλος τους είναι η μεταφορά οξυγόνου στους ιστούς και η απομάκρυνση από αυτούς του διοξειδίου του άνθρακα.
Τα ώριμα ερυθρά αιμοσφαίρια έχουν χαρακτηριστικό σχήμα αμφίκοιλου δίσκου (εικ.3.16) και είναι παχύτερα στην περιφέρεια απ' ό,τι στο κέντρο. Το σχήμα τους αυτό οφείλεται στην απουσία πυρήνα. Το κυτταρόπλασμά τους περιέχει κυρίως αιμοσφαιρίνη, η οποία τους δίδει το χαρακτηριστικό κόκκινο χρώμα. Η αιμοσφαιρίνη είναι μία εξειδικευμένη πρωτεΐνη, υπεύθυνη για τη μεταφορά του οξυγόνου. Η αιμοσφαιρίνη Α, που είναι ο κύριος τύπος αιμοσφαιρίνης στους ενήλικες, αποτελείται από δύο ζευγάρια πολυπεπτιδικών αλυσίδων, της αλυσίδας α και της αλυσίδας β (α2β2), και από 4 ομάδες αίμης, οι οποίες περιέχουν

εικ. 3.15 Σύσταση του αίματος

εικ. 3.16 α) κύτταρα του αίματος β) τομή ερυθροκυττάρου
|
|

εικ. 3.17 Φυσιολογία των ερυθροκυττάρων α) αιμοφόρα τριχοειδή β) ερυθροκύτταρο γ) μόριο αιμοσφαιρίνης
σίδηρο. Κάθε ομάδα αίμης συνδέεται
με μία πολυπεπτιδική αλυσίδα (εικ.3.17).
Τα ερυθροκύτταρα ζουν περίπου τέσσερις μήνες και στη συνέχεια εγκαταλείπουν την κυκλοφορία του αίματος και συγκεντρώνονται στο ήπαρ και στη σπλήνα, όπου καταστρέφονται. Για να διατηρείται όμως ο αριθμός τους στο αίμα σταθερός, παράγονται συγχρόνως άλλα από τον ερυθρό μυελό των οστών. Σε ορισμένες περιπτώσεις τα ερυθροκύτταρα παράγονται με γρηγορότερο ρυθμό με αποτέλεσμα να αυξάνεται ο αριθμός τους στο αίμα. Αυτό συμβαίνει, για παράδειγμα, στους ανθρώπους που ζουν σε μεγάλο υψόμετρο, όπου δεν υπάρχει αρκετό οξυγόνο στην ατμόσφαιρα. Τα επιπλέον ερυθροκύτταρα τους βοηθούν να προσλαμβάνουν οξυγόνο, που είναι απαραίτητο για τις ανάγκες των ιστών τους
Γνωρίζετε ότι:
Κάθε δευτερόλεπτο στον οργανισμό παράγονται 3.000.000 ερυθροκύτταρα και καταστρέφονται άλλα τόσα.
Μεταφορά οξυγόνου και διοξειδίου του άνθρακα
Όταν τα ερυθροκύτταρα φτάσουν στους πνεύμονες με την κυκλοφορία, προσλαμβάνουν οξυγόνο. Πώς όμως η αιμοσφαιρίνη συμμετέχει σ' αυτή τη διαδικασία; Το άτομο σιδήρου που υπάρχει σε κάθε μόριο αίμης δεσμεύει ένα μόριο οξυγόνου. Στην κατάσταση αυτή η αιμοσφαιρίνη ονομάζεται οξυαιμοσφαιρίνη. Το οξυγόνο μεταφέρεται έτσι μέχρι τα τριχοειδή, όπου αποδεσμεύεται από
την αιμοσφαιρίνη και διαχέεται προς τα κύτταρα. Αφού απελευθερωθεί το οξυγόνο, δεσμεύεται από την αιμοσφαιρίνη ένα μέρος από το διοξείδιο του άνθρακα που έχει παραχθεί με το μεταβολισμό των κυττάρων. Το υπόλοιπο διαλύεται στο πλάσμα με τη μορφή όξινων ανθρακικών ανιόντων (HCO-3). Στη συνέχεια το δεσμευμένο διοξείδιο του άνθρακα και το διαλυμένο στο πλάσμα, μεταφέρονται στους
πνεύμονες, όπου αποβάλλονται ως CΟ2.
Η οξυαιμοσφαιρίνη προσδίδει στο αίμα
λαμπερό κόκκινο χρώμα, ενώ η αιμοσφαιρίνη
που έχει δεσμεύσει διοξείδιο του άνθρακα,
σκούρο κόκκινο.
|
|
Λευκά αιμοσφαίρια
Τα λευκοκύτταρα είναι εμπύρηνα, έχουν
σημαντικό ρόλο στην άμυνα του οργανισμού
και είναι πολύ λιγότερα από τα ερυθροκύτταρα. Παράγονται στον ερυθρό μυελό των οστών
και διακρίνονται σε δύο ομάδες (εικ.3.15):
(1) Στα κοκκιώδη, που περιέχουν κοκκία
στο κυπαρόπλασμά τους και περιλαμβάνουν
τα βασεόφιλα, ηωσινόφιλα και ουδετερόφιλα ή πολυμορφοπύρηνα.
(2) Στα μη κοκκιώδη, τα οποία μετά την
παραγωγή τους μεταναστεύουν σε άλλα όργανα όπως οι λεμφαδένες και η σπλήνα και
περιλαμβάνουν τα λεμφοκύτταρα και τα μεγάλα μονοκύτταρα, τα οποία διαφοροποιούνται σε μακροφάγα.
Τα ουδετερόφιλα και τα μονοκύτταρα, με
την ικανότητα που έχουν να διαπερνούν τα τοιχώματα των τριχοειδών αγγείων (διαπίδυση),
κατευθύνονται στο σημείο όπου υπάρχει μόλυνση (εικ.3.18). Εκεί απομονώνουν το μολυσματικό παράγοντα, τον καταστρέφουν και στη συνέχεια εξουδετερώνουν τις τοξικές ουσίες
που πιθανόν αυτός έχει απελευθερώσει
(εικ.3.19).
Μία ομάδα λεμφοκυττάρων, τα Β-λεμφοκύτταρα, είναι υπεύθυνα για την παραγωγή των αντισωμάτων.
Τα λευκοκύτταρα ζουν από λίγες ημέρες
μέχρι λίγες εβδομάδες και φυσιολογικά ο αριθμός τους κυμαίνεται από 5.000-10.000 ανά mm3
αίματος. Σε περιπτώσεις μολύνσεων ο αριθμός
των λευκοκυττάρων αυξάνεται σημαντικά.

εικ. 3.18 Τα λευκοκύτταρα έχουν την ικανότητα να
διαπερνούν τα τοιχώματα των τριχοειδών αγγείων
(διαπίδυση).

εικ. 3.19 Φαγοκυττάρωση
Γνωρίζετε ότι:
Στις λευχαιμίες (είδος καρκίνου του αίματος)
παρατηρείται υπερβολική αύξηση του αριθμού
των λευκοκυττάρων (πάνω από 100.000 ανά
mm3). Στις περιπτώσεις αυτές επειδή ένας μεγάλος αριθμός ανώριμων λευκοκυττάρων συσσωρεύεται στον ερυθρό μυελό των οστών παρεμποδίζεται η παραγωγή ερυθροκυττάρων
και αιμοπεταλίων. Για ορισμένες μορφές λευχαιμίας ενοχοποιείται ένας ιός, ο HTLV-1.
Υπάρχουν διαφορετικά είδη λευχαιμιών λιγότερο ή περισσότερο σοβαρά. Ορισμένα είδη,
όπως η οξεία λευχαιμία των παιδιών, μπορούν
να αντιμετωπιστούν με αρκετή επιτυχία με
φαρμακευτική αγωγή.
Στην περίπτωση που ο αριθμός των
λευκοκυττάρων πέσει κάτω από 5.000 ανά
mm3 αίματος έχουμε τη λευκοπενία.
|
>
Αιμοπετάλια
Τα αιμοπετάλια είναι θραύσματα κυττάρων με διάμετρο 2-4 μm. Παράγονται στον
ερυθρό μυελό των οστών και ζουν 5-9 ημέρες, ο δε αριθμός τους κυμαίνεται από
250.000 έως 400.000 ανά mm3 αίματος.
Έχουν σχήμα ακανόνιστο, στερούνται πυρήνα και είναι άχρωμα (εικ.3.15). Τα αιμοπετάλια παίζουν πολύ σημαντικό ρόλο στη
διαδικασία της πήξης του αίματος.
Πλάσμα
Είναι το υγρό μέρος του αίματος. Αποτελείται κυρίως από νερό μέσα στο οποίο βρίσκονται διαλυμένες διάφορες ουσίες. Σ' αυτές περιλαμβάνονται ανόργανα άλατα, θρεπτικές ουσίες όπως γλυκόζη, ορμόνες, πρωτεΐνες, και ουσίες που πρέπει να αποβληθούν όπως ουρία.
Είναι πολύ σημαντικό το πλάσμα να περιέχει τη σωστή ποσότητα νερού, αλάτων
και άλλων ουσιών.
Οι πρωτεΐνες του πλάσματος διακρίνονται σε τέσσερις κατηγορίες με εξειδικευμένη λειτουργία:
Αλβουμίνες: Είναι πρωτεΐνες που καθιστούν το αίμα κολλώδες και θολό και συμβάλλουν στη διατήρηση σταθερής ωσμωτικής πίεσης στο αίμα.
Σφαιρίνες: Οι πρωτεΐνες αυτές του πλάσματος παράγονται στο ήπαρ και
προορίζονται κυρίως για την καταστροφή
των μικροοργανισμών και τη μεταφορά ουσιών, έχουν ενζυμική δράση, ορισμένες από
αυτές συμμετέχουν και στη διαδικασία πήξης του αίματος.
Ινωδογόνο : Πρωτεΐνη που έχει σημαντικό ρόλο στη διαδικασία πήξης του αίματος.
Αν από το πλάσμα αφαιρεθεί το ινωδογόνο, το υγρό που παραμένει ονομάζεται ορός.
Συμπλήρωμα: Το συμπλήρωμα είναι
στην πραγματικότητα μία ομάδα 20 πρωτεϊνών που συμμετέχουν στη διαδικασία αντιμετώπισης των παθογόνων μικροοργανισμών, καταστρέφοντάς τους με διάφορους τρόπους.
Στον πίνακα 3.1 αναφέρονται περιληπτικά όλα τα υγρά του σώματος που σχετίζονται με το αίμα
Πίνακας 3.1: Σύσταση των σωματικών υγρών
ΣΩΜΑΤΙΚΑ
ΥΓΡΑ |
ΣΥΣΤΑΣΗ |
Πλάσμα |
Το υγρό μέρος
του αίματος |
Ορός |
Το πλάσμα χωρίς
το ινωδογόνο |
Υγρό των ιστών |
Το πλάσμα χωρίς
τις πρωτεΐνες |
Λέμφος |
Το υγρό των ιστών
μέσα στα λεμφαγγεία |
Λειτουργίες του αίματος
Τρεις είναι οι σημαντικές λειτουργίες
του αίματος και αφορούν τη μεταφορά, την
προστασία και τη ρύθμιση.
-
Μεταφέρει το οξυγόνο από τους
πνεύμονες στους ιστούς και το διοξείδιο
του άνθρακα από τους ιστούς στους
πνεύμονες, θρεπτικά συστατικά από το λε-
πτό έντερο σε όλο το σώμα και ουσίες που
πρέπει ν' απομακρυνθούν στους νεφρούς.
Στο αίμα κυκλοφορούν επίσης ορμόνες και
αντισώματα.
- Με τη διαδικασία της πήξης του αίματος εμποδίζεται η απώλεια υγρών κατά
τη διάρκεια μικροτραυματισμών και παρεμποδίζεται η είσοδος μικροοργανισμών
- Συμβάλλει στον έλεγχο της ποσότητας νερού και διάφορων χημικών συστατικών στους ιστούς, καθώς και στη διατήρηση της θερμοκρασίας του σώματος.
|
>
Πήξη του αίματος
Σε ένα μικρό τραυματισμό το αίμα σύντομα πήζει και η αιμορραγία σταματά. Η πήξη του αίματος είναι πολύ σημαντική διαδικασία διότι εμποδίζει τη μεγάλη απώλεια αίματος, την εισβολή των μικροοργανισμών
και είναι το πρώτο βήμα για την επούλωση
ενός τραύματος.
Η καταστροφή ενός ιστού ακολουθείται από μια σειρά αντιδράσεων, στο τέλος της οποίας το ινωδογόνο μετατρέπεται με τη βοήθεια της θρομβίνης (ένζυμο) σ' ένα μη διαλυτό πρωτεϊνικό πλέγμα, το ινώδες. Το ινώδες δημιουργεί ένα μικροσκοπικό δίκτυο, του οποίου οι ίνες εγκλωβίζουν τα ερυθρά αιμοσφαίρια. Έτσι σχηματίζεται ένας θρόμβος, που σταματά τη ροή του αίματος. Για το σχηματισμό της θρομβίνης είναι απαραίτητοι πολλοί παράγοντες όπως το ασβέστιο, η βιταμίνη Κ και τα αιμοπετάλια. Η διαδικασία πήξης του αίματος είναι μια σύνθετη πορεία, κατά την οποία ο ένας παράγοντας ενεργοποιεί τον άλλον (εικ.3.20).
Πρέπει να σημειωθεί ότι ο καπνός του τσιγάρου περιέχει δύο τουλάχιστον ουσίες οι οποίες παρεμποδίζουν το σχηματισμό του ινώδους.
Ορισμένοι άνθρωποι γεννιούνται χωρίς να διαθέτουν κάποιον από τους παράγοντες πήξης του αίματος, με αποτέλεσμα η διαδικασία της πήξης να καθυστερεί σημαντικά, γεγονός που έχει ως συνέπεια τη μεγάλη απώλεια αίματος σε περιπτώσεις τραυματισμού. Η ασθένεια αυτή ονομάζεται αιμορροφιλία ή αιμοφιλία και είναι
κληρονομική.
>  εικ. 3.20 Στάδια πήξης του αίματος
|
Γιατί το αίμα πρέπει να διατηρείται υγρό
Το αίμα περιέχει αντιπηκτικές ή αντιθρομβωτικές ουσίες, που εμποδίζουν την πήξη του και το διατηρούν υγρό. Σε ορισμένες περιπτώσεις, όμως, η μη ομαλή εσωτερική επιφάνεια των αιμοφόρων αγγείων, που μπορεί να είναι αποτέλεσμα αρτηριοσκλήρυνσης, τραυματισμού ή μόλυνσης, ενδέχεται να προκαλέσει το σχηματισμό θρόμβου. Αν ο θρόμβος αυτός (έμβολο) παρασυρθεί με την κυκλοφορία, μπορεί να αποφράξει κάποιο αγγείο. Εάν αποφράξει ένα αγγείο των πνευμόνων, μπορεί να προκαλέσει πνευμονική εμβολή. Αν πάλι ο θρόμβος αποφράξει ένα αγγείο που εξυπηρετεί τη στεφανιαία κυκλοφορία, μπορεί να προκληθεί καρδιακό επεισόδιο. Θρόμβος μπορεί να σχηματιστεί και σε αγγεία του εγκεφάλου και να προκαλέσει συμφόρηση ή εγκεφαλικό επεισόδιο.
|
Ομάδες αίματος
Σύστημα ΑΒΟ
Οι ομάδες αίματος καθορίζονται από την παρουσία ή μη ειδικών αντιγόνων στην επιφάνεια των ερυθροκυττάρων. Με βάση τα αντιγόνα αυτά, έχουν προσδιοριστεί τέσσερις ομάδες αίματος, οι Α, Β, ΑΒ, Ο (σύστημα ΑΒΟ). Ένα άτομο ανήκει στην ομάδα Α, όταν στην επιφάνεια των ερυθροκυττάρων του υπάρχει το αντιγόνο Α, ανήκει στην ομάδα Β, όταν υπάρχει το αντιγόνο Β, στην ομάδα ΑΒ, όταν υπάρχουν και τα δύο
κληρονομική.
αντιγόνα και στην ομάδα Ο, όταν δεν υπάρχει κανένα. Τα αντιγόνα αυτά ονομάζονται συγκολλητινογόνα.
Στο πλάσμα των ατόμων με ομάδα αίματος Α κυκλοφορούν αντισώματα έναντι του
αντιγόνου Β, τα αντί-Β, στο πλάσμα των ατόμων με ομάδα Β αντισώματα, έναντι του αντιγόνου Α, τα αντί-Α, στο πλάσμα των ατόμων
με ομάδα ΑΒ κανένα, και των ατόμων με ομάδα Ο και τα δύο είδη αντισωμάτων (αντί-Α και
αντί-Β) (πίνακας 3.2).
Πίνακας 3.2: Σύστημα ΑΒΟ
Ομάδα αίματος |
Αντιγόνο ερυθροκυττάρων |
Αντίσωμα πλάσματος |
Α |
Α |
Αντί-Β |
Β |
Β |
Αντί-Α |
ΑΒ |
Α,Β |
Κανένα |
Ο |
Κανένα |
Αντί-Α, Αντί-Β |
|
Τα αντισώματα αυτά ονομάζονται συγκολλητίνες. Η παρουσία αντιγόνου συγχρόνως με το αντίστοιχο αντίσωμα, που θα μπορούσε να συμβεί κατά τη διάρκεια μη επιτρεπτών μεταγγίσεων, έχει ως αποτέλεσμα την αντίδραση αντιγόνου - αντισώματος, γεγονός, που προκαλεί συγκόλληση των ερυθροκυττάρων (εικ.3.21). Η κυκλοφορία του αίματος στην περίπτωση αυτή σταματά και ακολουθεί αιμόλυση, που συνεπάγεται το θάνατο του ατόμου. Για να μη συμβεί αιμοσυγκόλληση, πρέπει κατά τις μεταγγίσεις να δίνεται προσοχή, ώστε το αίμα του δότη να μην περιέχει συγκολλητινογόνα αντίστοιχα με τις συγκολλητίνες του δέκτη. Σήμερα δεν εξετάζεται μόνον η ομάδα αίματος αλλά και κατά πόσον το αίμα του δότη είναι απαλλαγμένο μολυσματικών παραγόντων όπως οι ιοί που προκαλούν το AIDS και την ηπατίτιδα.

εικ. 3.21 Αιμοσυγκόλληση
Οι ομάδες αίματος καθορίζονται από τρία
αλληλόμορφα γονίδια. Απ' αυτά το I0, που είναι
υπεύθυνο για την ομάδα Ο είναι υπολειπόμενο.
Τα ΙΑ και ΙΒ που είναι υπεύθυνα για τη σύνθεση
των αντιγόνων Α και Β αντίστοιχα, είναι ισοεπικρατή μεταξύ τους και επικρατή έναντι του γονιδίου Γ.
Σύστημα Rhesus
Για το χαρακτηρισμό και την ταξινόμηση του αίματος ενός ατόμου, εκτός από το σύστημα ΑΒΟ, λαμβάνεται υπόψη και ο παράγοντας Rhesus (Rh). Ο παράγοντας Rhesus είναι μία πρωτεΐνη που μπορεί να υπάρχει ή όχι στην επιφάνεια των ερυθροκυττάρων ενός ατόμου. Τα άτομα που έχουν αυτή την πρωτεΐνη χαρακτηρίζονται ως Rhesus θετικά (Rh+), ενώ εκείνα που δεν την έχουν ως Rhesus αρνητικά (Rh-). Αν αυτή η πρωτεΐνη ενεθεί σε άτομο Rh-, προκαλεί την παραγωγή αντισωμάτων αντι-Rh.
Ο παράγοντας Rh μπορεί να δημιουργήσει προβλήματα στην περίπτωση που η μητέρα είναι Rh- και ο σύζυγος της Rh+. Στην περίπτωση αυτή το παιδί που θα γεννηθεί μπορεί να κληρονομήσει τον παράγοντα Rh από τον πατέρα και να γίνει Rh+. Η μητέρα έχει αρκετές πιθανότητες να αναπτύξει αντισώματα έναντι του παράγοντα Rh, αν κατά τη διάρκεια του τοκετού ή λίγο πριν σπάσει ο πλακούντας, οπότε τα κύτταρα του ανοσοποιητικού μηχανισμού της μητέρας έρχονται σε επαφή με τα ερυθρά αιμοσφαίρια
του παιδιού. Αρχίζει τότε η διαδικασία παραγωγής αντισωμάτων αντί-Rh. Τα αντισώματα αυτά δε θα επηρεάσουν το παιδί το οποίο γεννιέται. Σε επόμενη όμως εγκυμοσύνη, αφού η μητέρα είναι ήδη ευαισθητοποιημένη (έχει αντισώματα έναντι του παράγοντα Rh), αν το έμβρυο είναι πάλι Rh+,θα πεθάνει, γιατί τα ερυθροκύτταρά του θα καταστραφούν από τα αντισώματα της μητέρας που διοχετεύονται.
|
μέσω του πλακούντα στην κυκλοφορία του εμβρύου (εικ.3.22). Αυτό προλαμβάνεται, αν αμέσως μετά τον πρώτο τοκετό χορηγηθούν στη μητέρα αντί-Rh αντισώματα.
τα οποία θα εξουδετερώσουν τα αντιγόνα Rh. Με αυτόν τον τρόπο δε θα ευαισθητοποιηθεί η μητέρα για την παραγωγή αντί-Rh αντισωμάτων

εικ. 3.22 Ανάπτυξη αιμολυτικής νόσου στο έμβρυο
|
Αναιμίες
Όταν υπάρχει μειωμένος αριθμός ερυθροκυττάρων ή όταν τα ερυθροκύτταρα δεν
έχουν αρκετή αιμοσφαιρίνη, τότε το άτομο
πάσχει από αναιμία και παρουσιάζει αίσθημα
κούρασης και ατονίας.
Τα μειωμένα επίπεδα αιμοσφαιρίνης
μπορεί να οφείλονται σε ανεπάρκεια σιδήρου
(σιδηροπενία) λόγω κακής διατροφής του ατόμου. Εάν συμπεριληφθούν στο διαιτολόγιο
του ορισμένες τροφές πλούσιες σε σίδηρο όπως συκώτι, σταφίδες, δημητριακά, μπορούν
να θεραπεύσουν το είδος αυτό της αναιμίας.
Ένα άλλο είδος αναιμίας οφείλεται στην
αδυναμία του οργανισμού να απορροφήσει
τη βιταμίνη Β12 από το έντερο. Η βιταμίνη αυτή είναι απαραίτητη για την ωρίμανση των ερυθροκυττάρων και σε περίπτωση έλλειψής της έχουμε συσσώρευση ανώριμων ερυθροκυττάρων στο μυελό των οστών. Μία δίαιτα πλούσια σε ψάρια, αβγά, γαλακτοκομικά
και πουλερικά, καθώς και χορήγηση βιταμίνης Β12 συμβάλλει στην αντιμετώπιση της αναιμίας αυτής.
Άλλη μορφή αναιμίας είναι η αιμολυτική,
που χαρακτηρίζεται από αυξημένο ρυθμό καταστροφής ερυθροκυττάρων (αιμόλυση).
Μπορεί να οφείλεται σε κληρονομικούς παράγοντες, σε τοξίνες, παράσιτα ή σε μετάγγιση μη συμβατού αίματος.
Η δρεπανοκυτταρική αναιμία είναι μία
κληρονομική ασθένεια που χαρακτηρίζεται από την παραγωγή μη φυσιολογικής αιμοσφαιρίνης, με αποτέλεσμα τα ερυθροκύτταρα να
εμφανίζουν χαρακτηριστικό δρεπανοειδές
σχήμα (εικ.3.23). Τα ερυθροκύτταρα αυτά,
λόγω του σχήματος τους, προκαλούν συχνά
απόφραξη των αγγείων.
Η μεσογειακή αναιμία είναι μία
κληρονομική ασθένεια που εμφανίζεται με
μεγάλη συχνότητα στη χώρα μας. Οφείλεται
σε μειωμένη παραγωγή της β αλυσίδας της
αιμοσφαιρίνης. Θεραπεία δεν υπάρχει και αντιμετωπίζεται με μεταγγίσεις σε τακτά χρονικά διαστήματα.
 ει κ. 3.23 Ερυθροκύτταρο ατόμου με δρεπανοκυτταρική αναιμία
|
Οι λειτουργίες του αίματος περιλαμβάνουν
μεταφορά θρεπτικών ή άχρηστων ουσιών, ρύθμιση της θερμοκρασίας και άμυνα έναντι των
μολύνσεων.
Τα ερυθροκύτταρα μεταφέρουν στους ιστούς
το οξυγόνο, και σ' αυτό συμβάλλει η απουσία πυρήνα, το αμφίκοιλο σχήμα τους, η ελαστική και εκλεκτικά διαπερατή μεμβράνη τους και το κυτταρόπλασμα, που είναι πλούσιο σε αιμοσφαιρίνη.
Τα λευκοκύτταρα έχουν ρόλο αμυντικό ο οποίος εκδηλώνεται είτε με τη φαγοκυττάρωση μικροοργανισμών είτε με την παραγωγή αντισωμάτων.
Τα αιμοπετάλια συμμετέχουν στη διαδικασία
πήξης του αίματος, που έχει ως αποτέλεσμα την
προστασία του οργανισμού από την απώλεια αίματος και την είσοδο μικροοργανισμών.
Υπάρχουν τέσσερις ομάδες αίματος σύμφωνα
με το σύστημα ΑΒΟ οι: Α, Β, ΑΒ και Ο. Ο καθορισμός των ομάδων αυτών, καθώς και του παράγοντα Rhesus είναι πολύ σημαντικός κυρίως
για τις μεταγγίσεις.
Προβλήματα στη λειτουργία του αίματος εμφανίζονται, όταν έχουμε μειωμένο αριθμό ερυθροκυττάρων ή μειωμένη ποσότητα αιμοσφαιρίνης (αναιμία).
Η μεσογειακή και η δρεπανοκυτταρική αναιμία
είναι κληρονομικές παθήσεις του αίματος, που
οφείλονται σε παραγωγή μειωμένης ή μη φυσιολογικής αιμοσφαιρίνης αντίστοιχα
|
ΕΡΩΤΗΣΕΙΣ
- Να επισημάνετε δύο δομικές και δύο λειτουργικές διαφορές μεταξύ ερυθροκυττάρων και λευκοκυττάρων.
| ερυθροκύτταρο |
Λευκοκύτταρο |
 |
- Να συμπληρώστε τα κενά στις παρακάτω προτάσεις
- Το υγρό μέρος του αίματος ονομάζεται............
- Τα ερυθρά αιμοσφαίρια μεταφέρουν και τα λευκά συμβάλλουν στην του
οργανισμού.............
- Η αιμοσφαιρίνη που μεταφέρει οξυγόνο ονομάζεται............
- Να αναφέρετε τις κυριότερες ομάδες των λευκοκυττάρων.
- Εγκαταλείπουν ποτέ τα λευκοκύτταρα το κυκλοφορικό σύστημα;
- Να αναφέρετε τις κυριότερες πρωτεΐνες του πλάσματος και μία τουλάχιστον λειτουργία για καθεμία
από αυτές.
- Να περιγράψετε τη διαδικασία πήξης του αίματος.
- Να αναφέρετε τα αντιγόνα και τα αντισώματα που υπάρχουν στις ομάδες αίματος: Α, Β, ΑΒ και Ο.
8. Να αναφέρετε περιληπτικά τις λειτουργίες του αίματος.
ΠΡΟΤΕΙΝΟΜΕΝΕΣ ΕΡΓΑΣΙΕΣ
- Θέμα για συζήτηση: Τρόπος ζωής και καρδιαγγειακά νοσήματα
|
|